Colesteatoma, citología, masa en oreja, perro

Colesteatoma, citología, masa en oreja, perro

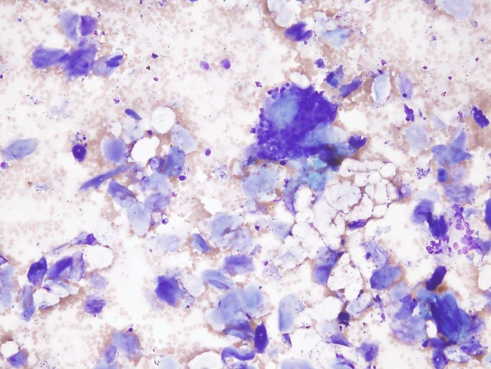
Microfotografía de la impresión táctil de un colesteatoma del oído medio/externo de un perro, que muestra inflamación granulomatosa asociada con queratina. El examen histológico confirmó que la masa era un colesteatoma. Aumento original 1000X.

Cortesía del Dr. Shannon Dehghanpir.