Desequilibrio del casco, plano sagital, radiografía, caballo
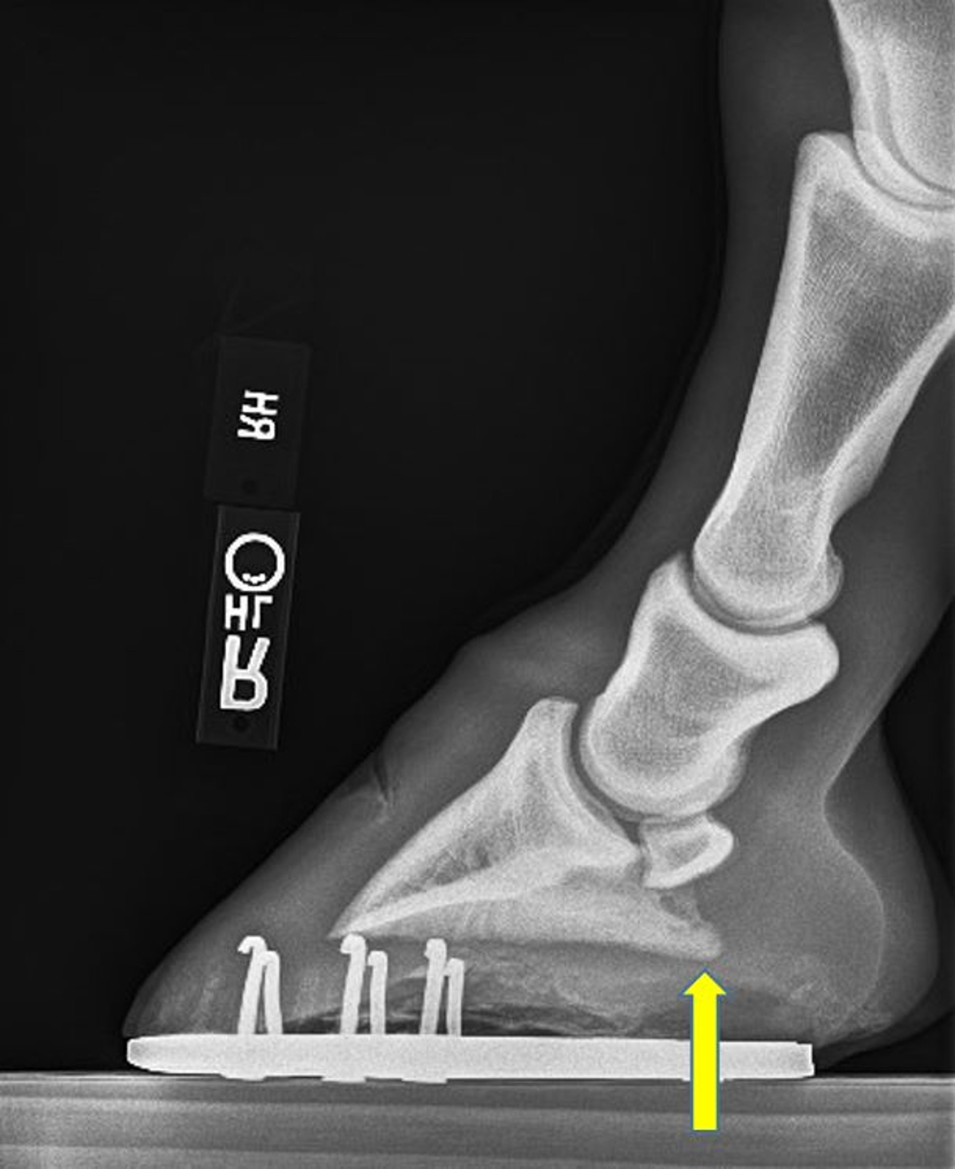
Radiografía lateromedial que muestra un desequilibrio sagital común del casco, también denominado ángulo palmar/plantar negativo, en un caballo. Obsérvese que en el margen solar, el aspecto palmar de la falange distal (flecha) es más distal que el aspecto dorsal.
Cortesía de la Dra. Valerie J. Moorman.
En estos temas
