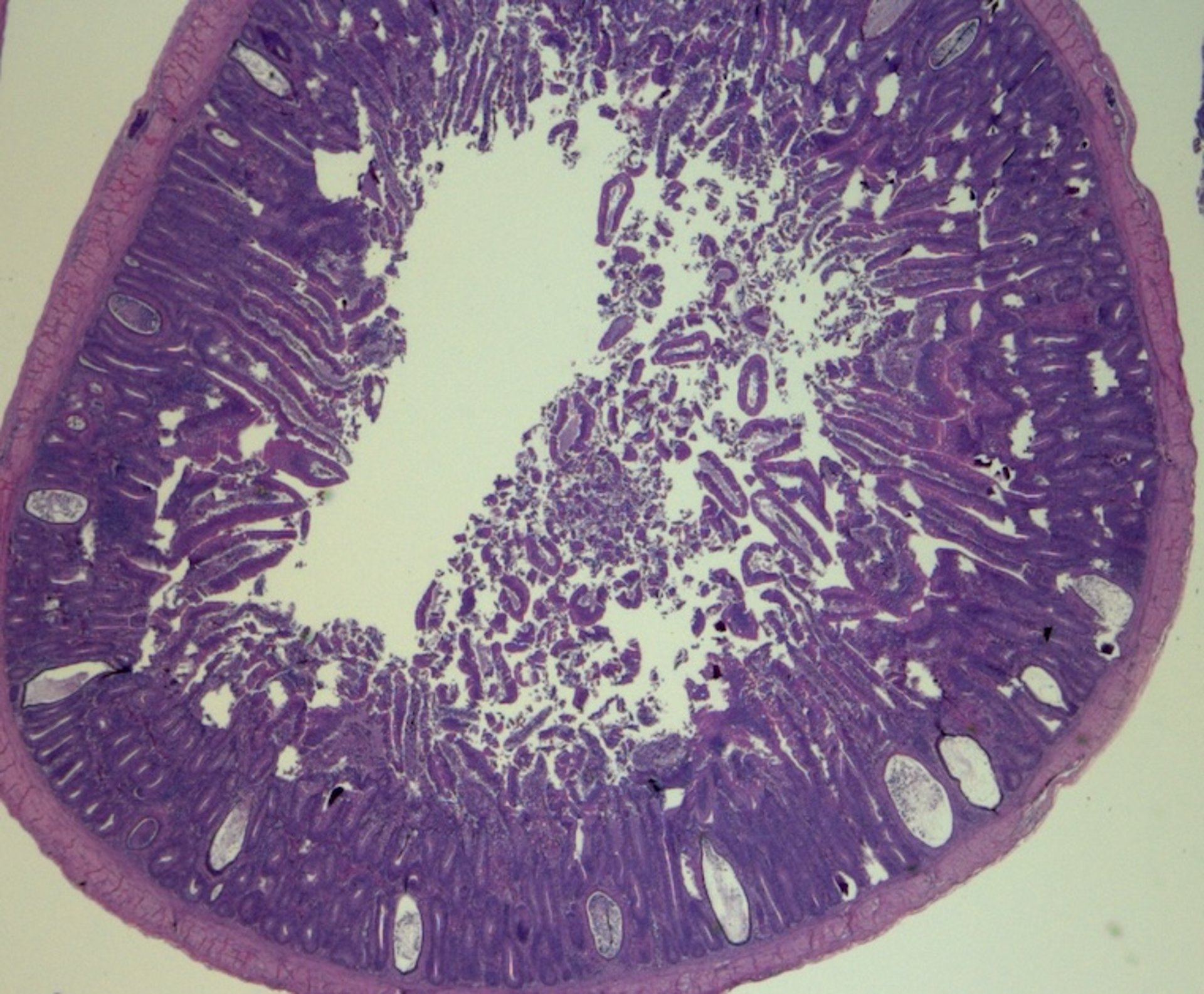
Infección por astrovirus, enteropatía quística, polluelo
Duodeno de un polluelo de engorde con el síndrome de enanismo y retraso del crecimiento asociado con el astrovirus, que muestra enteropatía quística mediante tinción con hematoxilina y eosina.
Cortesía de la Dra. Holly Sellers.
En estos temas
