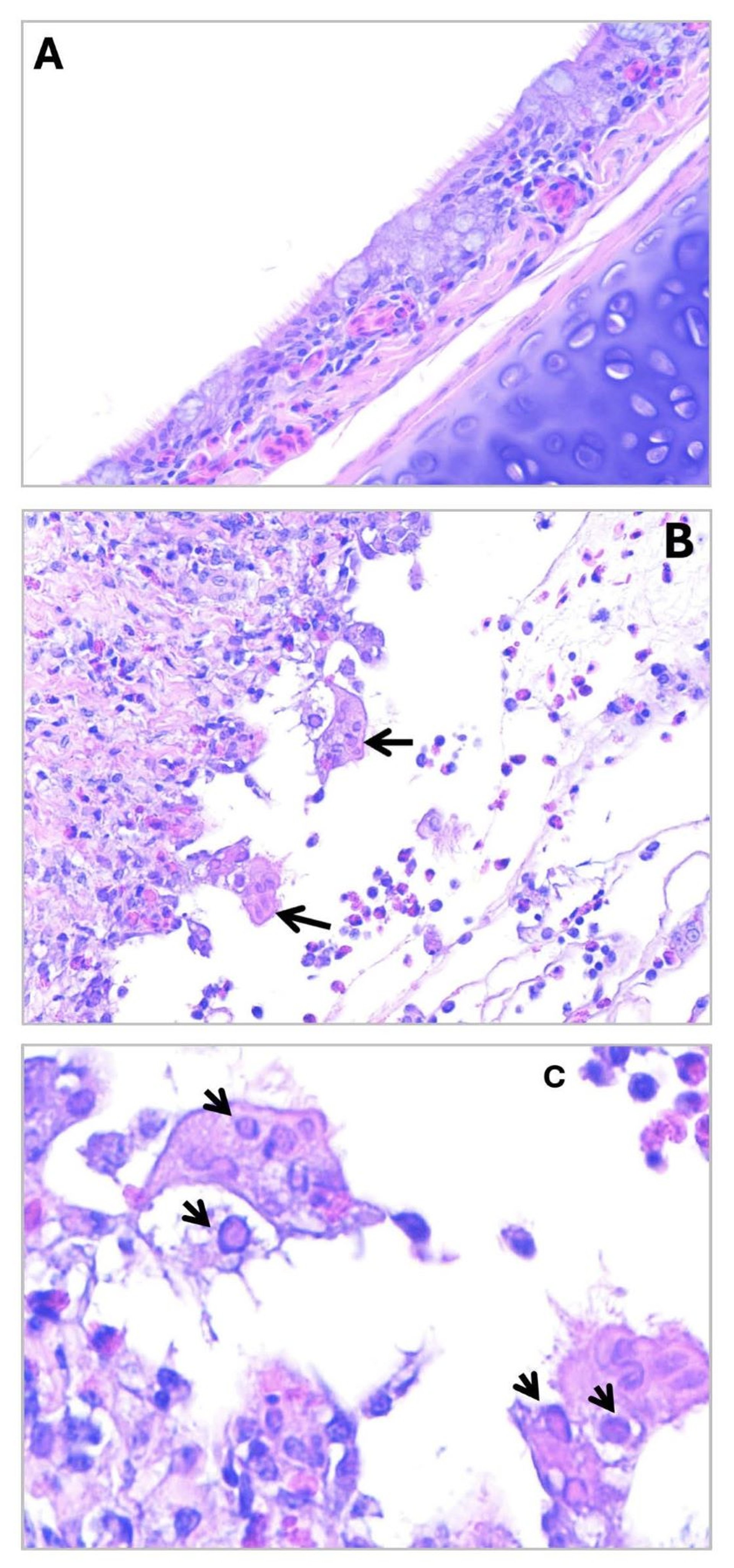
Laringotraqueítis infecciosa, tejido traqueal, pollo.
Fotomicrografías de tejido traqueal de un pollo sano (A) y de un pollo infectado con el virus de la laringotraqueítis infecciosa (B, C). En el pollo infectado, la descamación de la mucosa traqueal, que contiene sincitios (B, flechas) e inclusiones intranucleares (C, flechas), hacia la luz traqueal es indicativa de replicación viral lítica. Ampliaciones 200X (A, B) y 400X (C).
Cortesía de la Dra. Mari Carmen García.
En estos temas
