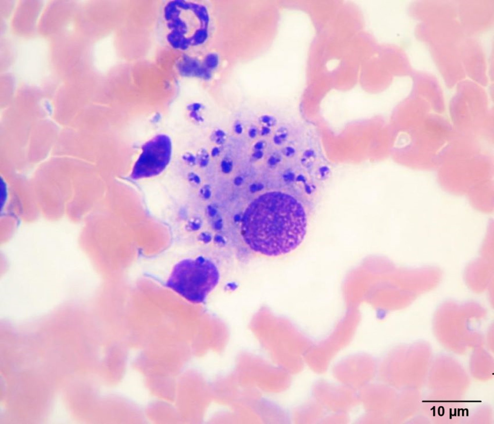
Leishmania infantum en un macrófago, microfotografía, perro
Microfotografía de un aspirado con aguja fina en el bazo de un perro con leishmaniasis. Observe los amastigotes libres de Leishmania infantum en el fondo hemodiluido, así como en el interior del citoplasma de un macrófago. Los amastigotes de diferentes especies de Leishmania spp. no suelen distinguirse morfológicamente entre sí, pero pueden diferenciarse mediante un análisis molecular. Tinción de Wright-Giemsa; barra de escala = 10 μm
Cortesía del Dr. Gad Baneth.
En estos temas
