Próstata, ecografía transversal, perro

Próstata, ecografía transversal, perro

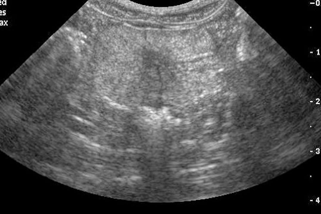
Ecografía transversal de la próstata canina, con cambios típicos de la hiperplasia benigna. Obsérvese las estrías características en el parénquima.

Cortesía de T. W. Baker.