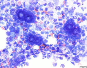
Mixed-breed, coughing dog with lumps

Test Interpretation 2

Your browser does not support HTML5 .

Cytology of an aspirate of the right popliteal lymph node is shown. Which of the following is a correct interpretation of the cytology? (You may select only one option.)



Marked pyogranulomatous inflammation with intralesional yeast most consistent with Blastomyces dermatitidis.


Marked pyogranulomatous inflammation with intralesional yeast most consistent with Histoplasma capsulatum.