History of Present Illness
Review of Systems
Past Medical History
Physical Examination
Relevant Testing
Test Results 1
Test Interpretation
Differential Diagnoses
Relevant Next Steps
Treatment Orders
Test Results 2
Question 1
Question 2
Question 3
About the Case
Irish terrier with mass on head
Test Interpretation
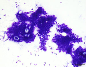
Cytology of the mass returns and is shown. Which of the following are possible interpretations of the cytology? (You may select more than one option.)
Next