14-yr-old dog unable to walk

Test Results 2

Results of additional testing show the following:

Abdominal ultrasound: Nodules in spleen and enlarged right medial iliac lymph node. Cytology of a splenic nodule showed extramedullary hematopoiesis. Sample not obtained from lymph node.

Otoscopy: The left canal mass was visualized, although the eardrum was not. Histopathologic evaluation identified the mass as a ceruminous adenoma with chronic secondary inflammation.

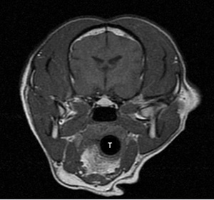
MRI: The cervical mass is located in the area of the thyroid glands, which could not be visualized. Mass is in close association with the jugular vein and internal carotid artery without evidence of invasion. The mass in the left horizontal ear canal was noted. No intracranial mass was detected.

MRI of ventral cervical mass (T = trachea):

Your browser does not support HTML5.