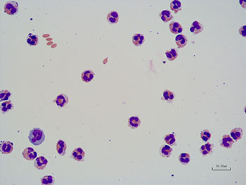
Appropriate studies are ordered, and the results are shown:
CSF evaluation |
Results |
Ref. Range |
Color of fluid/supernatant |
Colorless |
Colorless |
Turbidity |
Slightly hazy |
Clear |
Protein (g/dL) |
129 |
0–45 |
RBCs (/µL) |
76 |
0–2 |
WBCs (/µL) |
189 |
0–3 |
Cytology preparation of CSF
