History of Present Illness
Review of Systems
Past Medical History
Physical Examination
Relevant Testing
Test Results 1
Test Interpretation 1
Differential Diagnoses
Relevant Next Steps
Test Interpretation 2
Treatment Orders
Test Results 2
Question 1
Question 2
About the Case
11-year-old dog with limp
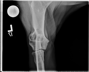
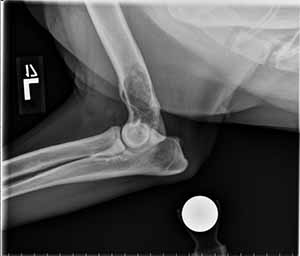
Test Interpretation 1
Radiographs of the left elbow show the following:
Cranial-caudal view:
Lateral view:
Which of the following is a correct interpretation of the radiographic findings? (You may select only one option.)
Next