History of Present Illness
Review of Systems
Past Medical History
Physical Examination
Testing
Test Results 1
Relevant Next Steps
Test Results 2
Diagnosis
Treatment Orders
Additional Test Results
Follow-up
Question 1
Question 2
About the Case
Disoriented cat with stumbling gait
Additional Test Results
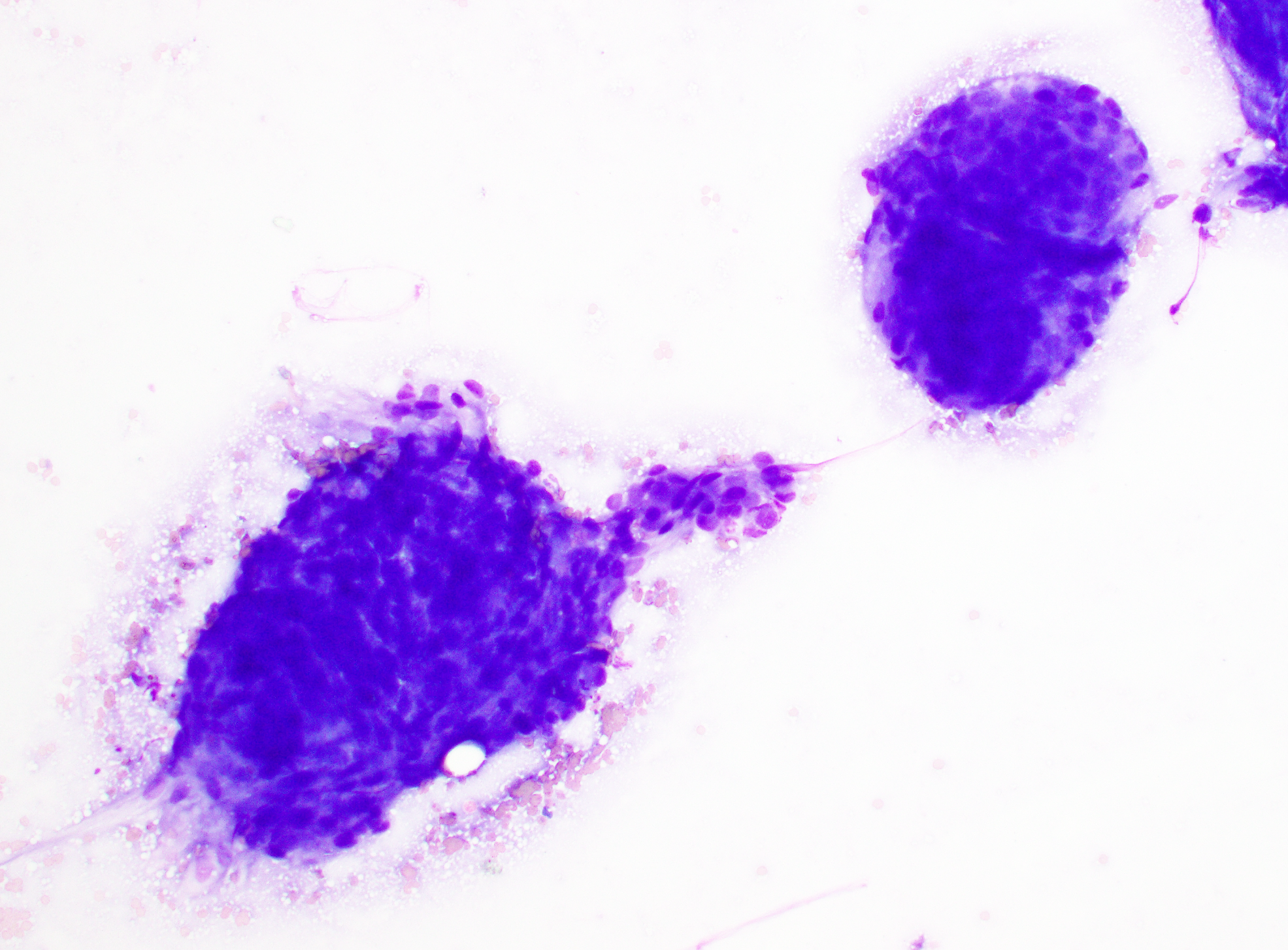
Cytology:
Histology:
The cat underwent successful surgical resection of the intracranial mass. Based on the pathology samples shown below, what is the most likely anatomic diagnosis?
Next