Labrador retriever with lethargy and anorexia

Diagnosis

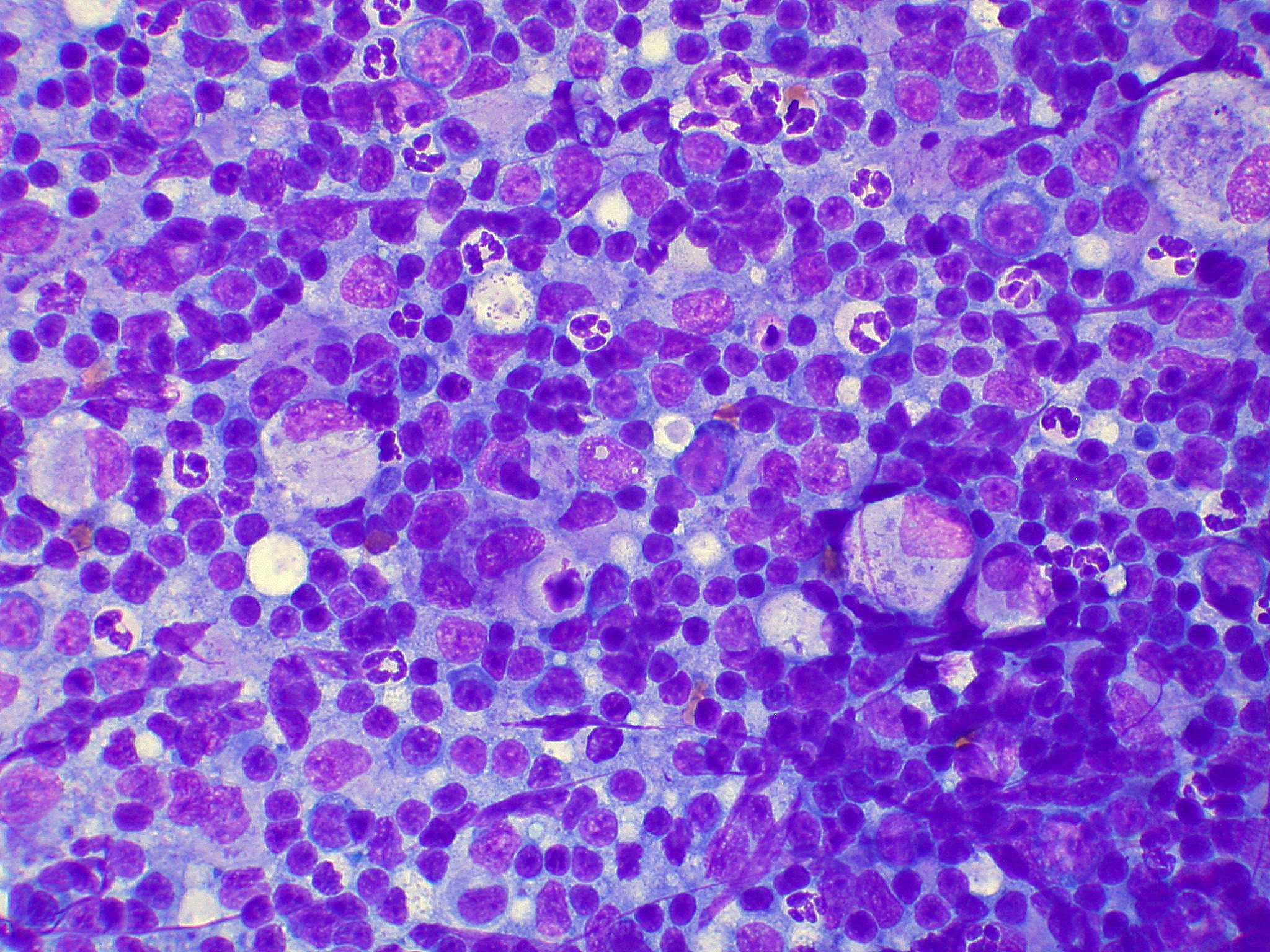
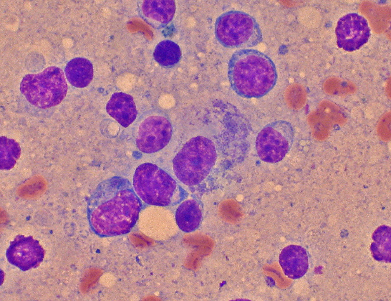
Cytology of prescapular lymph node (low- and high-power views):



Based on results of all the diagnostic tests, which is the best interpretation of the prescapular lymph node cytology results? (Please select only one option.)



Reactive lymph node with granulomatous inflammation and intracytoplasmic inclusions consistent with Neorickettsia spp


This is a matter of degree; the increased proportion of intermediate and large lymphocytes and inflammatory cells indicates the lymph node is "reactive"–responding to antigenic stimulation.