Dog with a swollen left elbow

Test Results

Appropriate studies are obtained, and results are shown:

Radiographs: Lateral view showed that the humerus, ulna, and radial head all have pathologic changes. Lesions on bones are small, productive lesions (osteophytes) in multiple places. No bone or soft tissues masses were seen. The joint capsule is distended.


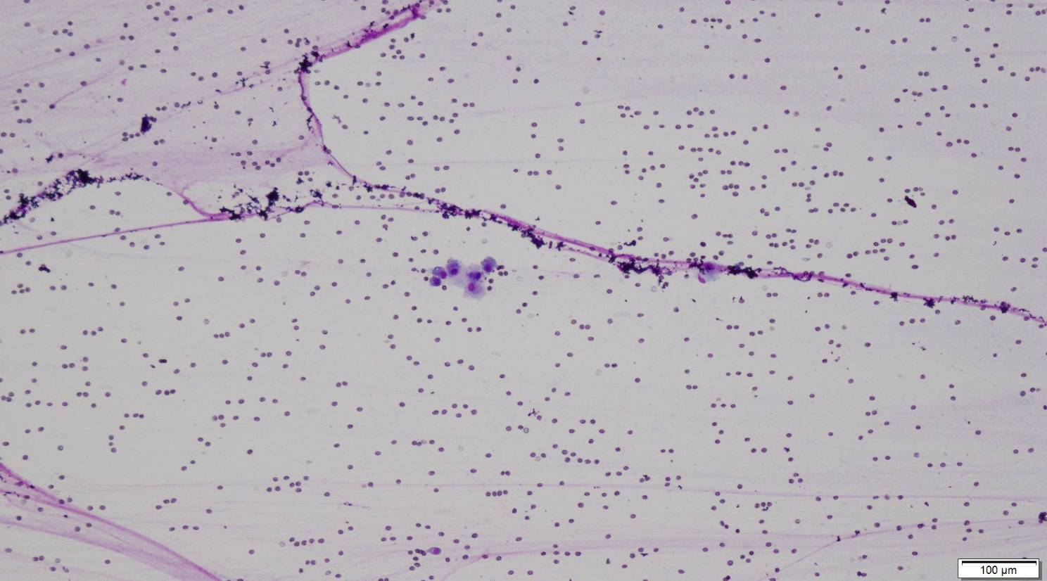
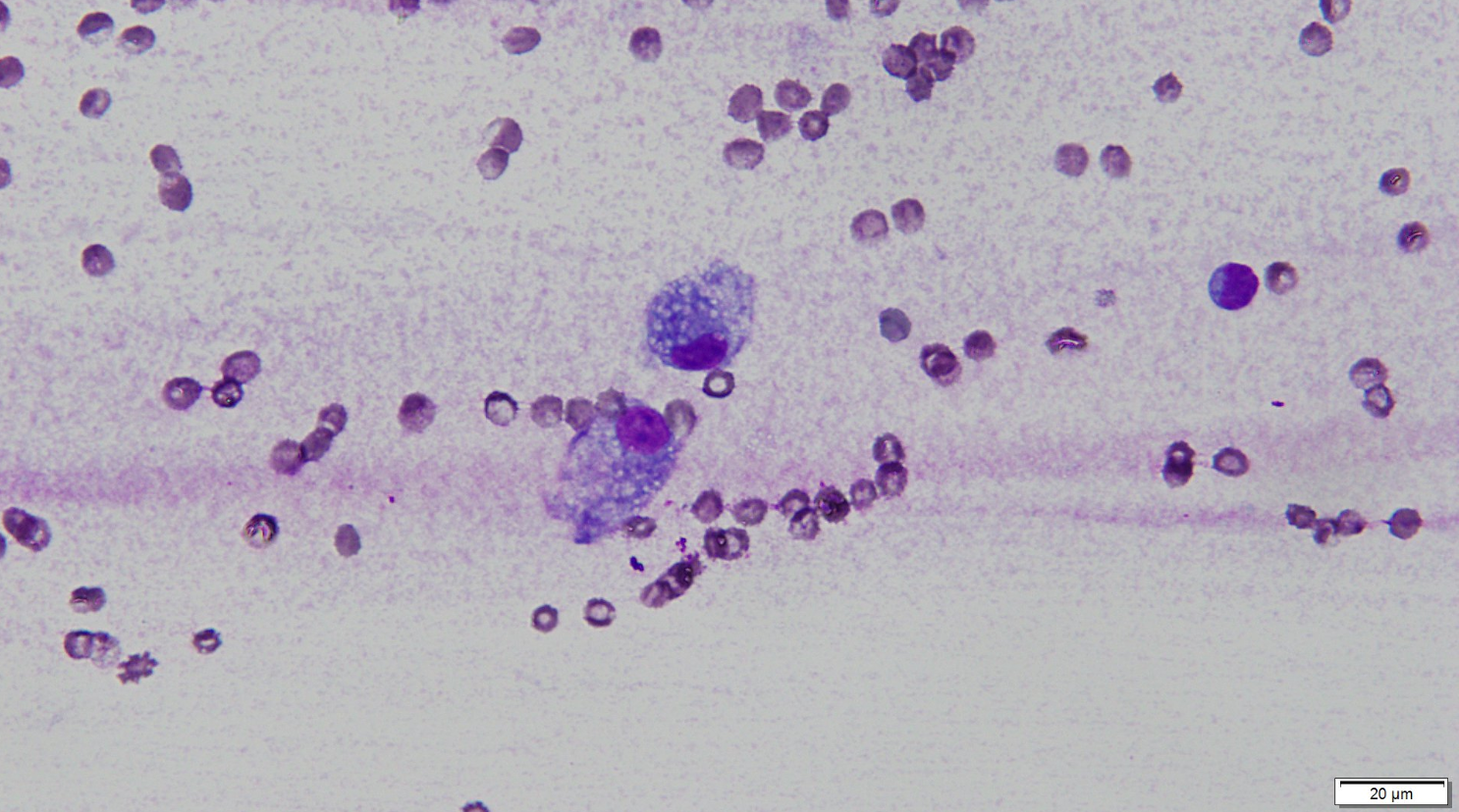
Synovial fluid analysis:

Parameter Result Ref. Range
Color of fluid Red Clear to straw-colored
Turbidity Marked None
Viscosity Marked Marked
Total nucleated cell count 2,678 cells/uL <3,000 cells/uL
Total protein 2.7 g/dL <2.5 g/dL