History of Present Illness
Review of Systems
Past Medical History
Physical Examination
Testing
Test Results
Test Interpretation
Differential Diagnosis
Relevant Next Steps
Question 1
Question 2
Question 3
About the Case
Young hound with a mass on the lip
Test Results
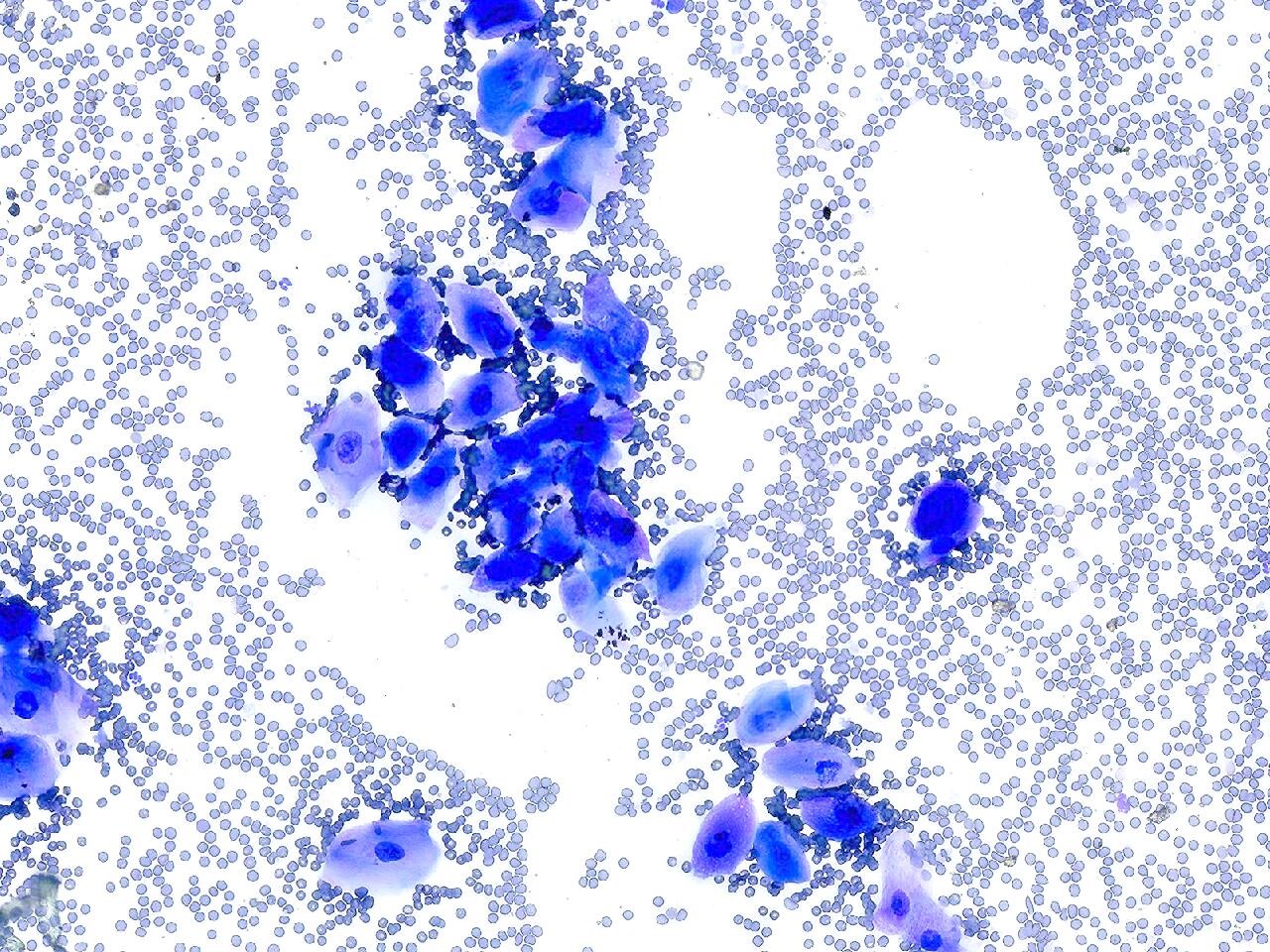
A fine-needle biopsy of the mass is obtained. Cytology of the mass returns and is shown.
Next