History of Present Illness
Review of Systems
Past Medical History
Physical Examination
Testing
Test Results
Test Interpretation
Differential Diagnosis
Relevant Next Steps
Additional Test Results
Treatment Orders
Question 1
About the Case
Horse with a mass near left eye
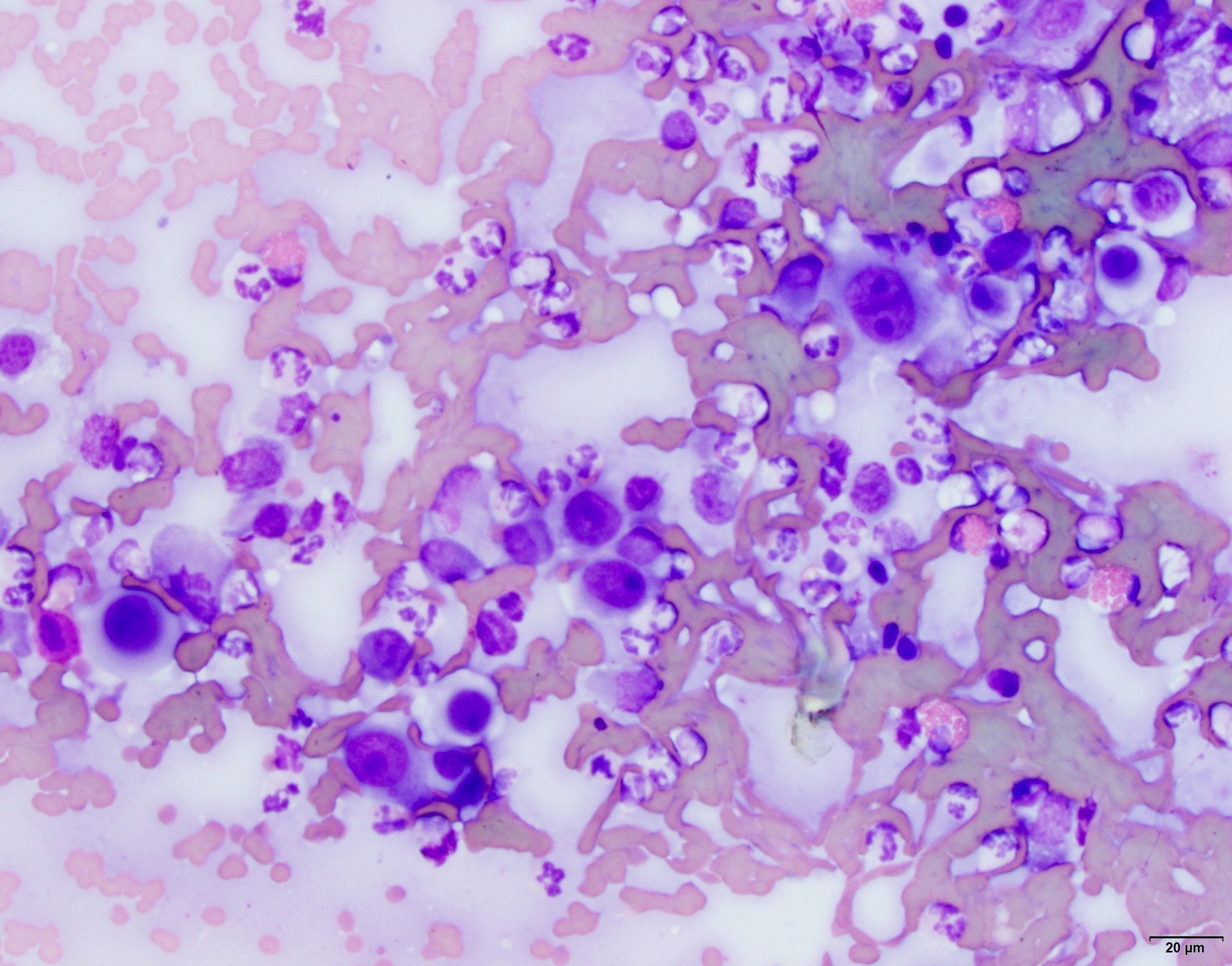
Test Results
Cytology from an impression smear of the mass is obtained and is shown:
Next