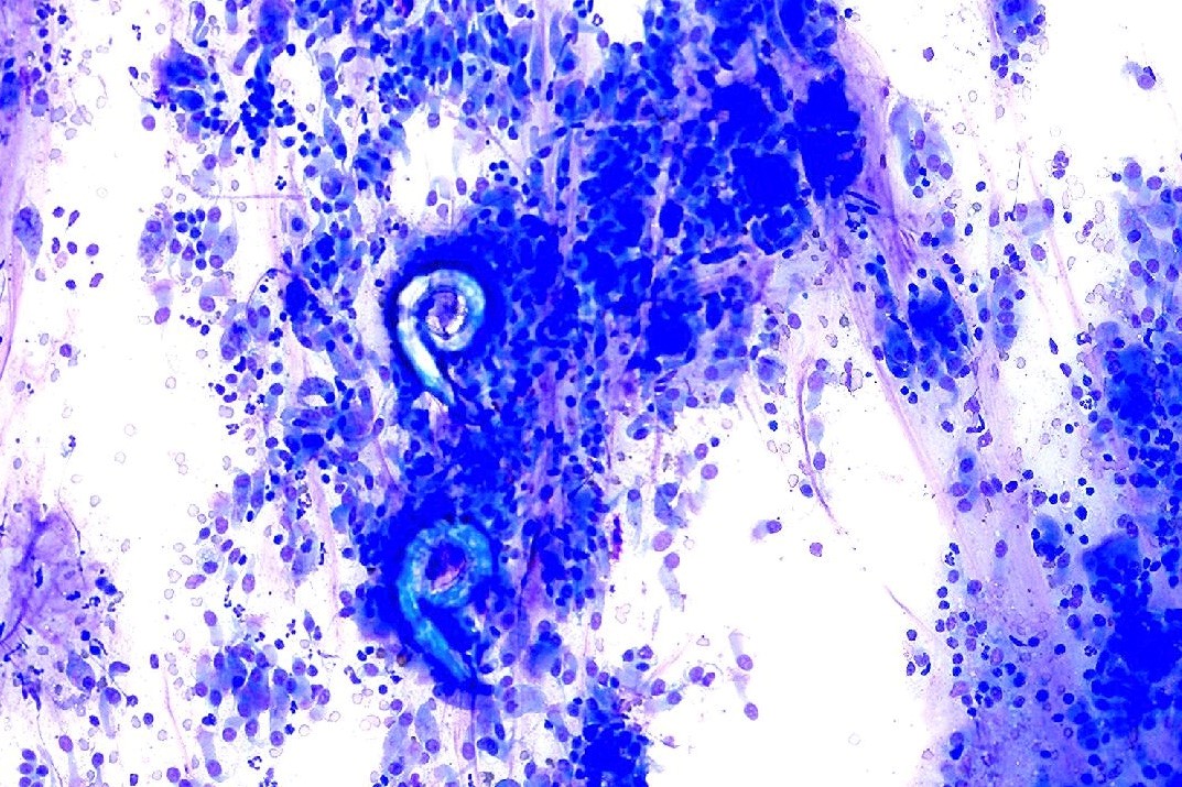
Kitten with intermittent cough

Additional Test Results

A transoral wash is obtained. A slide prepared for cytologic evaluation is shown: