Abdominal point-of-care ultrasound scan
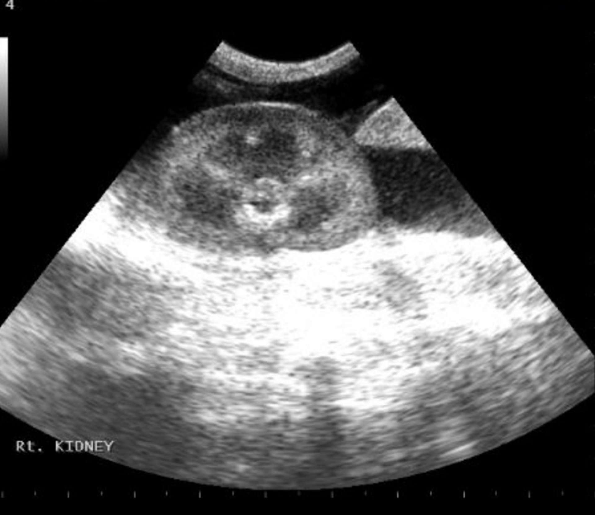
Image from an abdominal point-of-care ultrasound scan demonstrating an accumulation of fluid (black/anechoic) around the right kidney.
Courtesy of Dr. Andrew Linklater.
In these topics
Image from an abdominal point-of-care ultrasound scan demonstrating an accumulation of fluid (black/anechoic) around the right kidney.
Courtesy of Dr. Andrew Linklater.