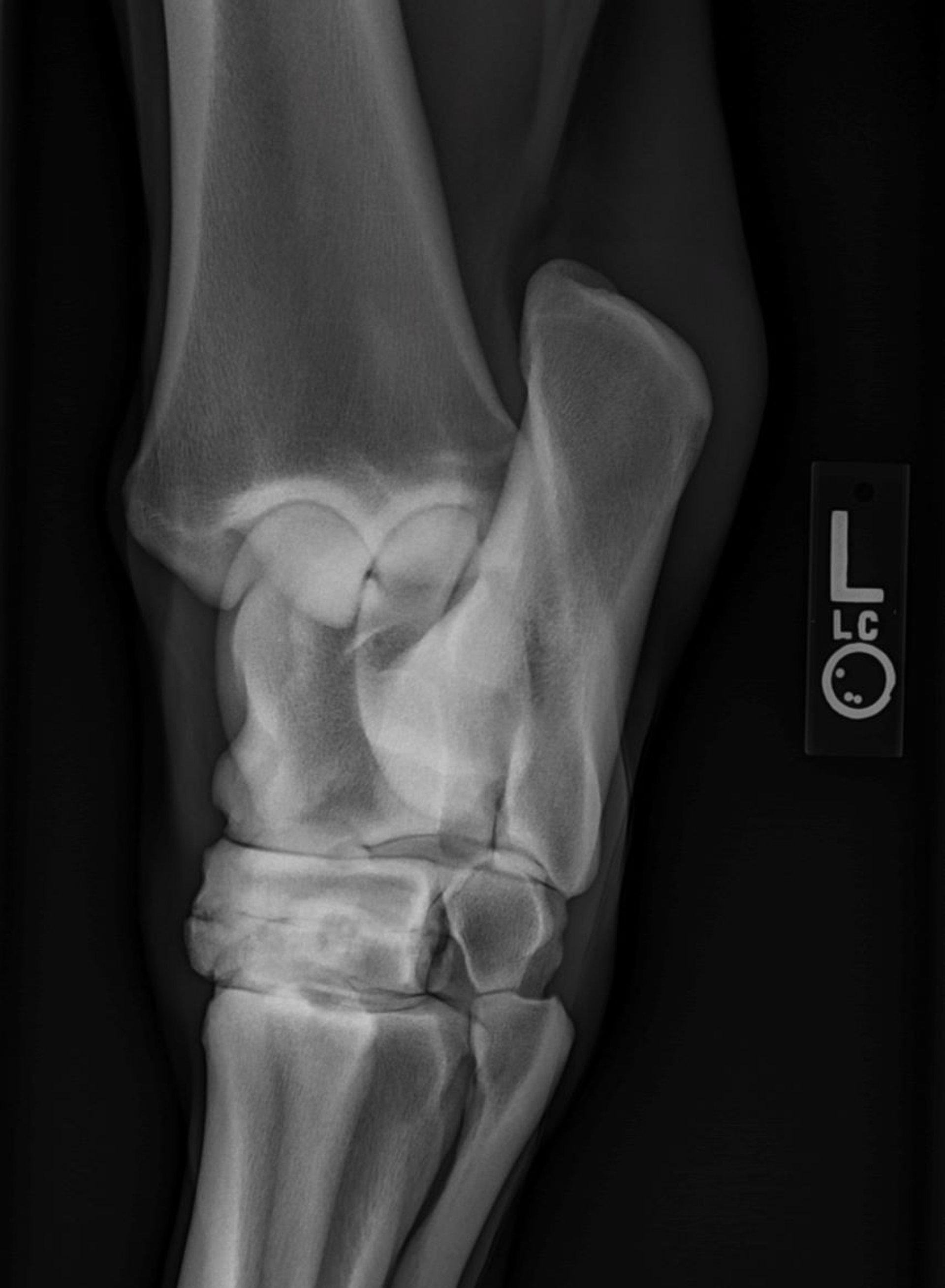
Distal intertarsal osteoarthritis, radiograph, horse
Dorsolateral-plantaromedial radiograph of a horse, showing distal intertarsal joint osteoarthritis. Note the loss of joint space, sclerosis, and osteolysis in the subchondral bone.
Courtesy of Dr. Hilary Rice.
In these topics
