Dorsal cortical stress fracture, third metacarpus, radiograph, horse
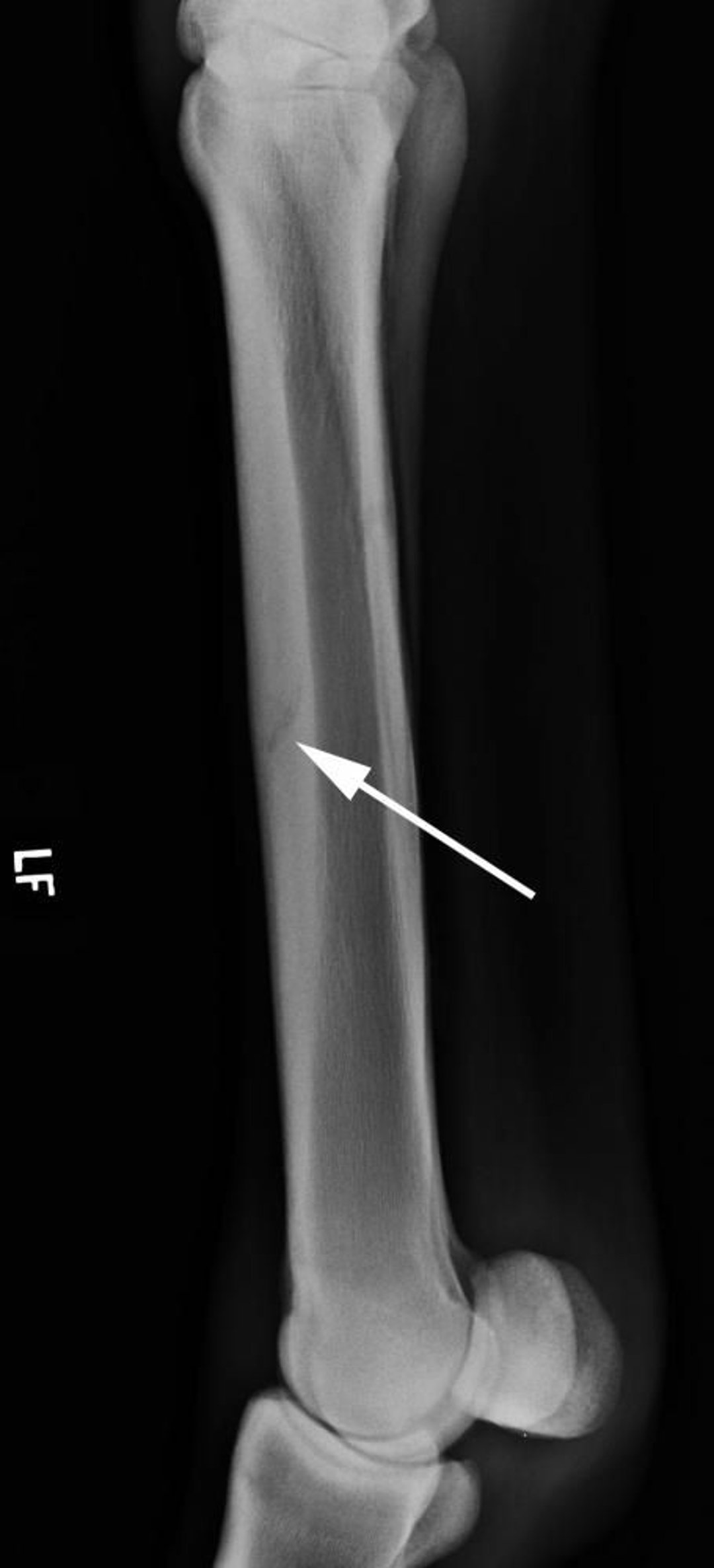
Lateral radiograph showing a typical dorsal cortical stress fracture of the third metacarpus (arrow) in a racing Thoroughbred.
Courtesy of Dr. Matthew T. Brokken.
In these topics
Lateral radiograph showing a typical dorsal cortical stress fracture of the third metacarpus (arrow) in a racing Thoroughbred.
Courtesy of Dr. Matthew T. Brokken.