Intestinal obstruction, lateral view, dog
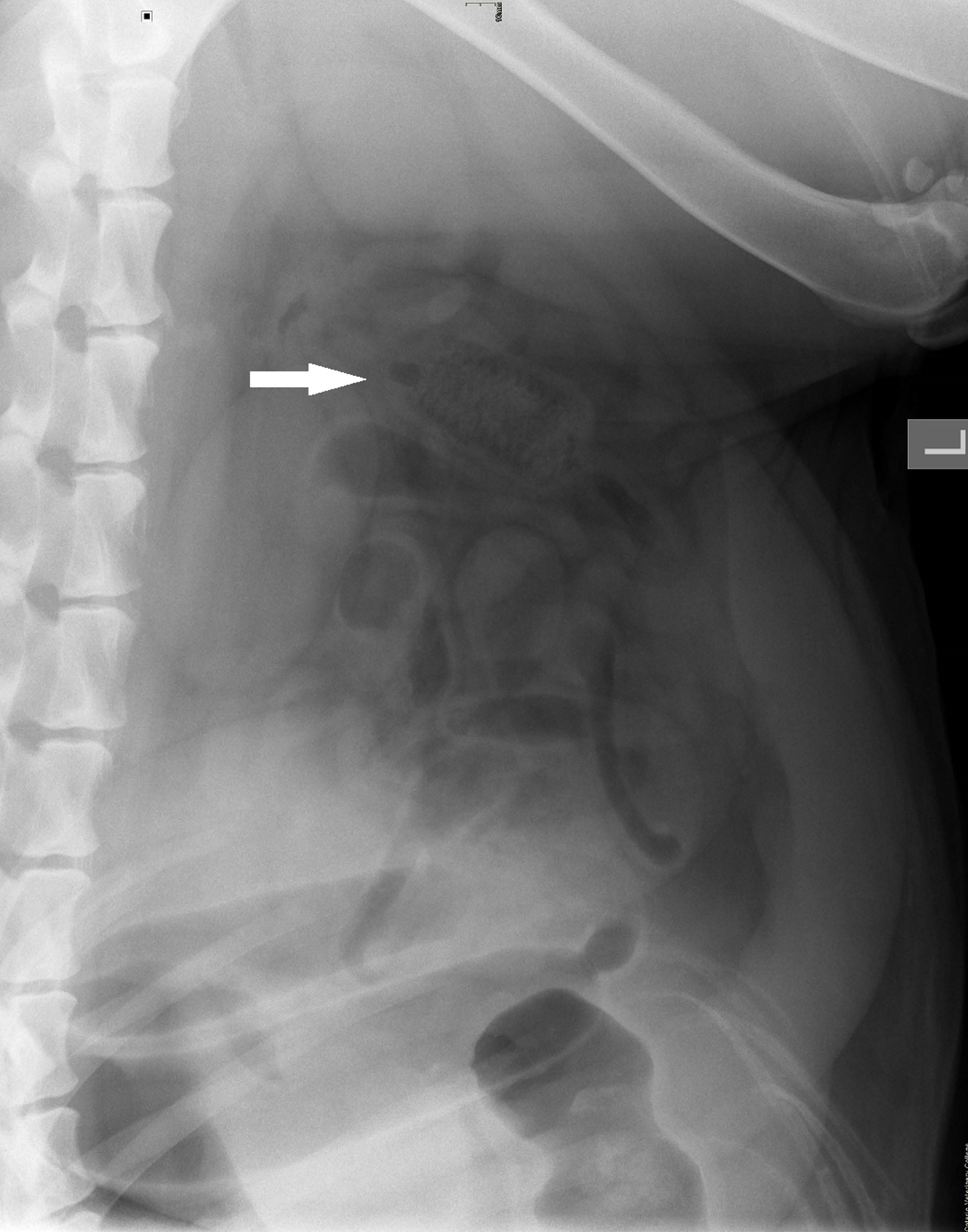
Lateral abdominal radiograph of a two-year-old Labrador Retriever with a corncob small intestinal obstruction.
Courtesy of Dr. Thomas Gibson.
In these topics
Lateral abdominal radiograph of a two-year-old Labrador Retriever with a corncob small intestinal obstruction.
Courtesy of Dr. Thomas Gibson.