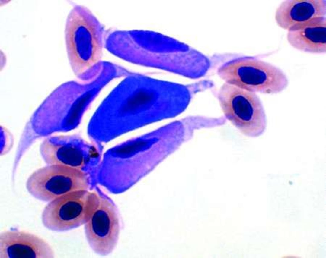
Leucocytozoon, photomicrograph, blood, red-tailed hawk
Photomicrograph showing Leucocytozoon gametocytes in a blood smear from a red-tailed hawk (Buteo jamaicensis). Gametocytes fill the host cell cytoplasm and displace the nucleus laterally. Note the dark blue staining of the macrogamont in the center, and the lighter pink staining of the three microgamonts surrounding it. Giemsa stain; original magnification 1,000X.
Courtesy of Dr. H. J. Barnes.
In these topics
