Medial coronoid disease, radiograph, dog
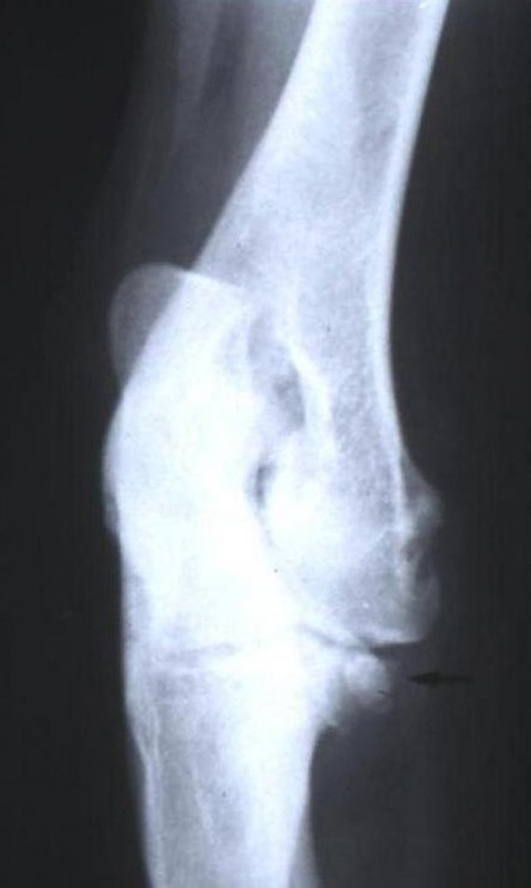
Craniocaudal oblique radiographic view of the right elbow of a dog with medial coronoid disease. Note the exostosis in the proximal medial region of the ulna.
Courtesy of Dr. Joseph Harari.
In these topics
Craniocaudal oblique radiographic view of the right elbow of a dog with medial coronoid disease. Note the exostosis in the proximal medial region of the ulna.
Courtesy of Dr. Joseph Harari.