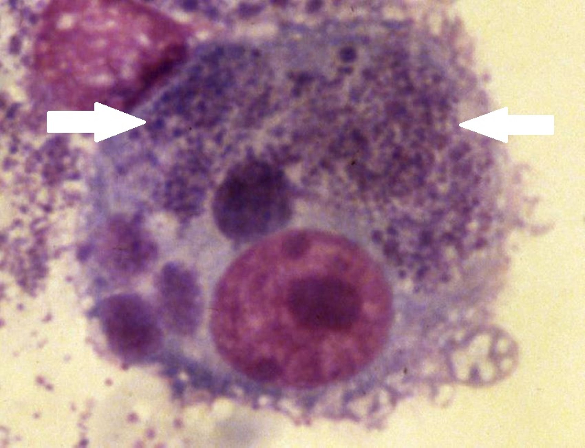
Neorickettsia helminthoeca, photomicrograph, dog
Photomicrograph showing canine macrophages containing basophilic, granular inclusions (between the arrows) typical of Neorickettsia helminthoeca. Giemsa stain.
Courtesy of Dr. Yasuko Rikihisa.
In these topics
