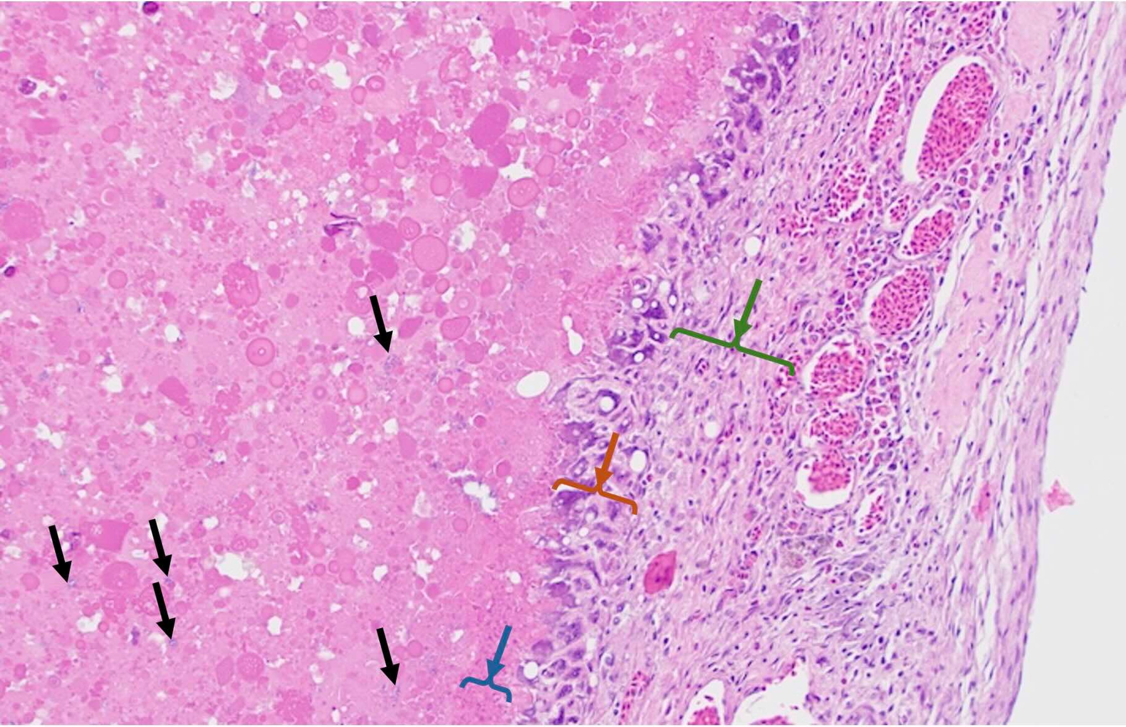
Omphalitis, photomicrograph, poultry
Photomicrograph of a histological section of yolk sac from a chick with omphalitis. Note the necrotic tissue, visible bacterial colonies (black arrows), and degenerating heterophils (blue arrow). These are surrounded by multinucleated giant cells (red arrow), macrophages, heterophils, and fibrous connective tissue (granuloma; green arrow). H&E stain. Original magnification, 200X.
Courtesy of Dr. Mohamed M. El-Gazzar.
In these topics
