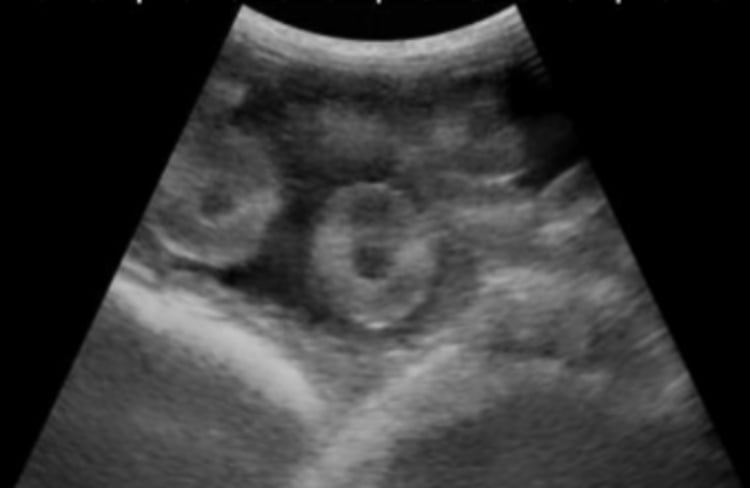
Placentomes, ultrasonogram, ewe
At approximately 55 days of gestation, a transabdominal ultrasonogram of a pregnant ewe typically reveals distinct, developing placentomes, which are the functional units of the small ruminant placenta. At this stage, placentomes are becoming more prominent and are often one of the most recognizable structures on the scan. Placentomes appear as paired, echogenic to moderately echogenic, C‑shaped or O-shaped structures within the uterine lumen.
Courtesy of Dr. Clare Scully.
In these topics
