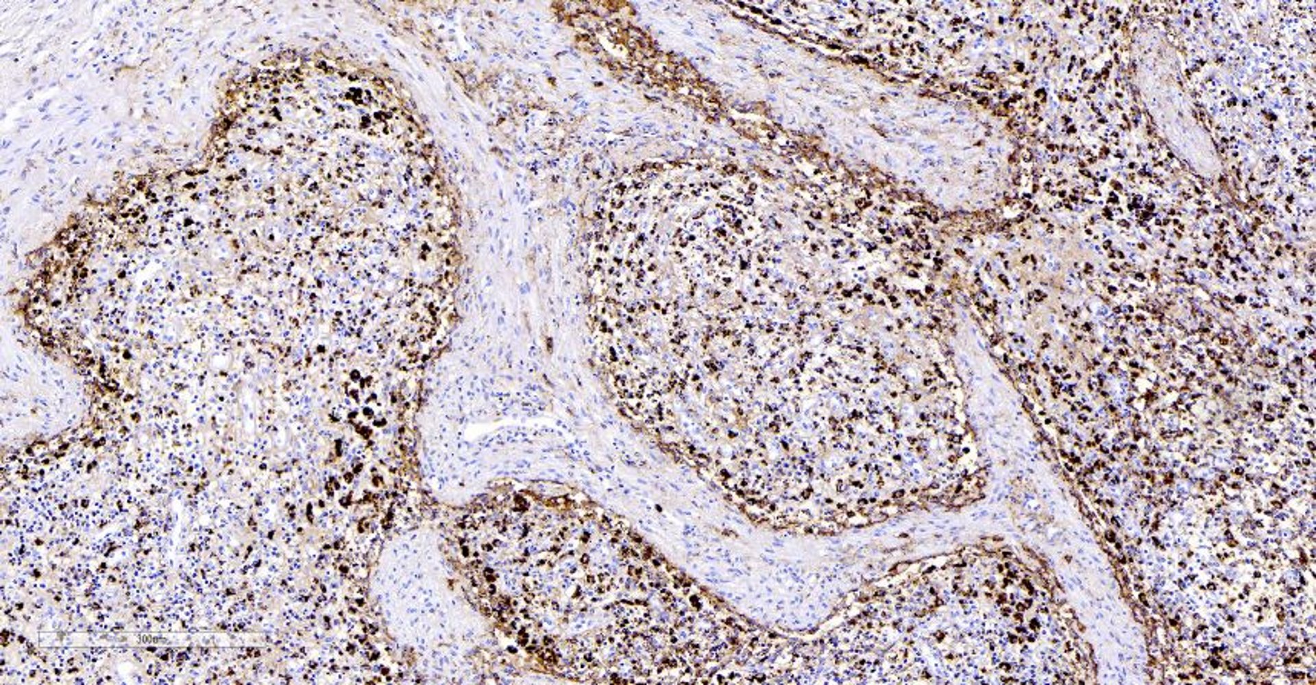
Porcine circovirus 2antigen detection by immunohistochemistry, photomicrograph, pig
Photomicrograph of a lymph node from a pig affected by porcine circovirus 2 systemic disease (PCV2-SD). Note the large amount of PCV2 antigen (brown color) detected by immunohistochemistry. Hematoxylin counterstain; scale bar = 300 mcm.
Courtesy of Dr. Joaquim Segalés.
In these topics
