logoPROFESSIONAL VERSION

Elbow Dysplasia in Dogs

ByPilar LaFuente, DVM, PhD, DACVS-SA, DECVS, DACVSMR, Universidad Catolica de Valencia
Reviewed ByJoyce Carnevale, DVM, DABVP, College of Veterinary Medicine, Iowa State University
Reviewed/Revised Modified Dec 2025
v3286229

Elbow dysplasia in dogs is a developmental orthopedic disease that affects the elbow joint, particularly in medium to large and giant breeds during their growth phase. Elbow dysplasia is not a single condition but rather a group of related abnormalities that interfere with normal elbow development and function.

Elbow dysplasia encompasses four main conditions :

Radiographic grading of dysplastic elbow joints is performed by the Orthopedic Foundation for Animals in the US and by kennel clubs in Scandinavia and Europe.

Ununited Anconeal Process in Dogs

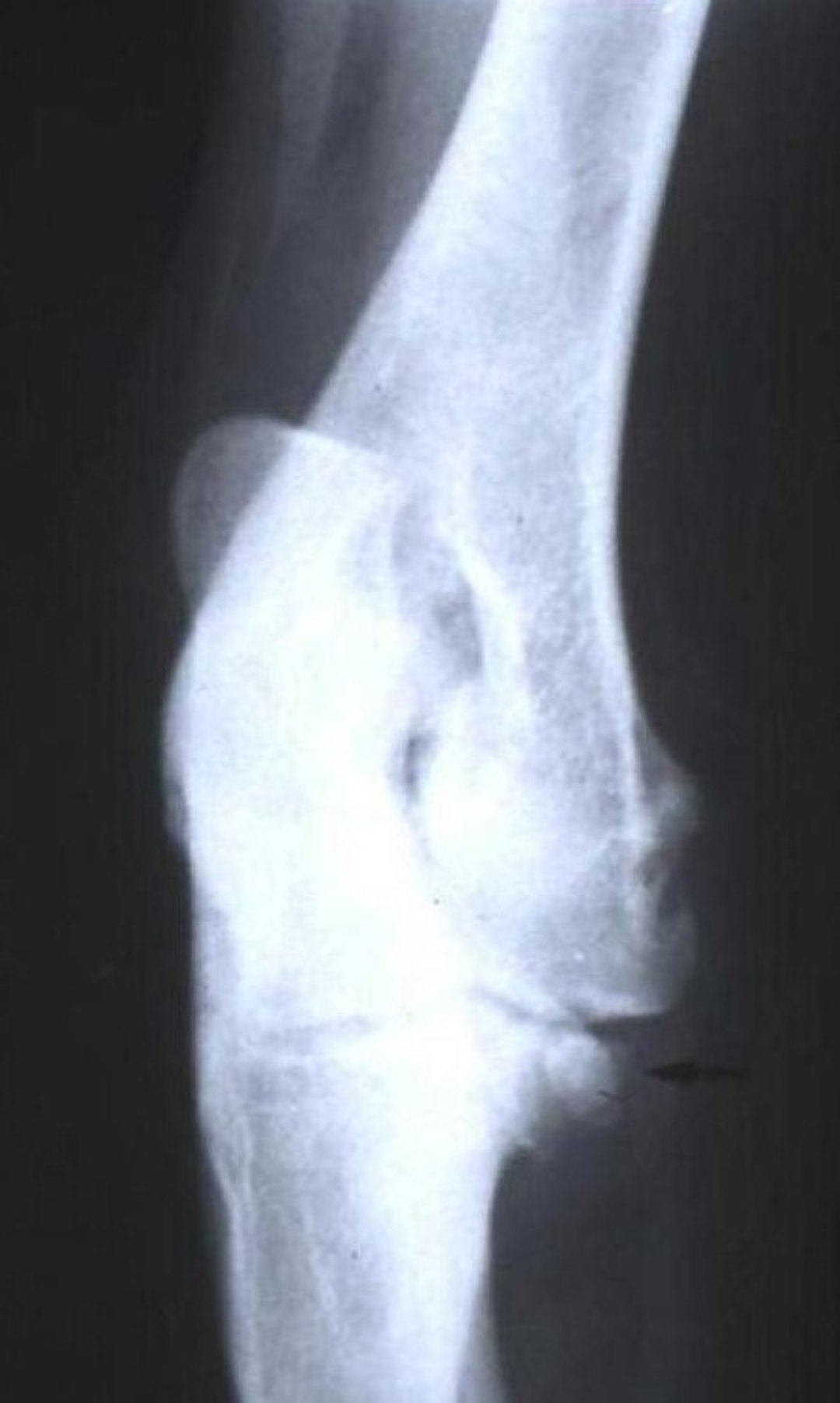
Some large breeds of dogs (German Shepherd Dog, Saint Bernard, Basset Hound, etc) have a secondary center of ossification for the anconeal process. Fusion should be completed by the age of 5–6 months. In ununited anconeal process (UAP), this fusion fails (see UAP image), resulting in a more or less mobile fragment that causes joint instability, pain, inflammation, and eventually osteoarthritis (OA).

The etiology of UAP includes osteochondrosis and biomechanical factors, such as shortening of the ulna in comparison to the radius, leading to excessive forces between the humeral condyle and anconeal process.

UAP occurs when the anconeal process fails to fuse with the ulna at the correct age, maintaining a fibrous tissue connection. This instability creates a pseudarthrosis at the growth center site, serving as an important primary cause of severe OA.

A hereditary basis of UAP has been implicated but not proved.

Weight-bearing lamenessdue to UAP can develop in dogs insidiously between 4 and 8 months of age; however, some bilateral cases might not be diagnosed until > 1 year of age. Affected elbows can show joint effusion, decreased range of motion, crepitus, or pain.

In chronic cases of UAP, muscle atrophy can occur. Some animals show external rotation of the limb or abduction of the elbow. UAP is suggested by these clinical signs, as well as by radiographic evidence. A lateral radiograph of the elbow in a fully flexed position enables visualization of the ununited process. Both elbows should be examined, because the condition can be bilateral. CT can confirm the diagnosis.

Pearls & Pitfalls

  • Both elbows should be examined for ununited anconeal process, because the condition can be bilateral.

Medial Coronoid Disease in Dogs

Medial coronoid disease (MCD) is one of the most common manifestations of elbow dysplasia in dogs. MCD is a spectrum of developmental abnormalities affecting the medial coronoid process of the ulna. These abnormalities occur most frequently in young large- and giant-breed dogs, such as Labrador Retrievers, Golden Retrievers, Bernese Mountain Dogs, and Rottweilers.

MCD includes conditions such as fragmentation of the medial coronoid process (FMCP), cartilage erosion, fissures, or abnormal shape or size of the coronoid. These lesions result from osteochondrosis, abnormal joint development, and incongruity between the radius and ulna, leading to excessive mechanical loading of the medial compartment of the elbow.

Dogs with MCD often show forelimb lameness, stiffness after rest, decreased range of motion, joint effusion, and pain on elbow manipulation.

Diagnosis of MCD is based on imaging such as radiography, CT, or arthroscopy (see MCD image). CT is particularly useful for detecting subtle lesions.

Managing MCD typically requires a multimodal approach. The initial surgical treatment of fragment removal only treats the symptom. Techniques aimed at decreasing medial coronoid process load and improving alignment, such as corrective osteotomies (eg, proximal abducting ulnar osteotomy [PAUL or PUO]), subtotal coronoidectomy, or bicipital ulnar release procedure (BURP), can be necessary. Ultimately, lifelong medical management for secondary OA is required.

The prognosis varies and depends on the extent of joint degeneration at the time of diagnosis.

Osteochondrosis of the Humeral Condyle in Dogs

Osteochondrosis of the elbow in dogs is a developmental orthopedic condition that results from abnormal endochondral ossification of the articular cartilage, most commonly affecting the medial aspect of the humeral condyle. This condition typically occurs in young, rapidly growing, large- and giant-breed dogs, such as Labrador Retrievers, Bernese Mountain Dogs, and Rottweilers, usually between 5 and 10 months old.

Osteochondral lesions in the elbow can lead to thickened cartilage, fissures, and eventual formation of cartilage flaps (osteochondritis dissecans [OCD]) or loose fragments ("joint mice"), which cause joint inflammation, pain, and lameness. Clinical signs include forelimb lameness, elbow effusion, decreased range of motion, and pain on flexion or extension of the elbow.

Diagnosis of osteochondrosis in the elbow is confirmed through imaging, particularly radiography and CT, which reveal subchondral bone defects, joint mice, or flattening of the joint surface. Arthroscopy is often used for both diagnosis and treatment.

Surgical management typically involves removal of the cartilage flap and debridement of the lesion to stimulate subchondral bleeding and fibrocartilage repair.

The prognosis depends on the severity of the lesion and on the presence of secondary OA; however, it is generally less favorable than for OCD of the shoulder.

Elbow Joint Incongruity in Dogs

Elbow joint incongruity is a mismatch or abnormal alignment between the articulating surfaces of the elbow joint.

This incongruity can take several forms, including step incongruity (a difference in length between the radius and ulna), trochlear notch dysplasia, or humeroulnar mismatching, and it often contributes to abnormal load distribution within the joint. As a result, certain areas—such as the medial compartment—experience increased pressure, predisposing to lesions like medial coronoid disease(fragmentation or wear of the medial coronoid process) and contributing to cartilage damage and OA.

Elbow incongruity is commonly identified in young, rapidly growing, large- and giant-breed dogs. Breeds like Labrador Retrievers and Bernese Mountain Dogs are predisposed to the condition.

Diagnosis is often based on advanced imaging, such as CT or arthroscopy, to assess the degree and type of incongruity.

Management of elbow incongruity could include medical therapy to address pain and inflammation or surgical options to correct the incongruity or offload the affected compartment, especially in moderate to severe cases. Surgical techniques include proximal dynamic ulnar osteotomy or, in very young dogs (< 6 months old) distal ulnar ostectomy.

Treatment of Elbow Dysplasia in Dogs

  • Conservative management

  • Surgical intervention

  • Supportive care

Treatment of elbow dysplasia in dogs depends on the specific lesions (eg, medial coronoid disease, ununited anconeal process, OCD, or joint incongruity), the severity of clinical signs, and the age of the patient.

In mild or early elbow dysplasia cases, conservative management with weight control, exercise modification, NSAIDs, nutraceuticals or disease-modifying osteoarthritis drugs (DMOADs) such as omega-3 fatty acids or polysulfated glycosaminoglycans, and physical therapy can provide good relief.

More advanced or refractory cases of elbow dysplasia often require surgical intervention:

  • Arthroscopyis commonly used to remove fragmented cartilage or bone, such as in MCD or OCD lesions. This technique enables joint lavage and assessment of cartilage damage for prognosis.

  • For UAP, surgical options might include fixation or removal of the anconeal process, together with proximal dynamic ulnar osteotomy.

  • In cases of appreciable incongruity or advanced medial compartment disease, techniques like proximal dynamic ulnar osteotomy or distal ulnar ostectomy (in very young patients) can help redistribute joint forces.

  • In cases with medial compartment syndrome, procedures like sliding humeral osteotomy (SHO) or PAUL may be considered to change the biomechanics of the elbow joint.

  • For severely degenerated joints, salvage procedures such as total elbow replacement (using an elbow replacement system) or canine unicompartmental elbow arthroplasty may be considered. A multimodal, individualized approach offers the best outcome, and long-term multimodal management is often necessary because of progressive OA.

  • Transplantation of cartilage plugs in lieu of curettage has been described (1).

The prognosis for dogs with elbow dysplasia varies, depending on several factors, including the specific form of dysplasia, the dog's age at diagnosis, the severity of joint changes, the presence of arthritis, and whether surgical intervention is performed early.

Key Points

  • Elbow dysplasia is a multifactorial developmental condition that involves one or more of the following: ununited anconeal process (UAP), medial coronoid disease (MCD), osteochondrosis or osteochondritis dissecans of the medial humeral condyle, and joint incongruity.

  • Clinical signs include forelimb lameness, joint pain, decreased range of motion, and joint effusion, typically noticed between 4 and 10 months of age.

  • Diagnosis relies on imaging modalities like radiography, CT, and arthroscopy; CT is particularly helpful in identifying subtle lesions.

  • Treatment depends on the specific lesion and its severity and can range from conservative management to surgical interventions.

For More Information

References

  1. Franklin SP, Stoker AM, Murphy SM, et al. Outcomes associated with osteochondral allograft transplantation in dogs. Front Vet Sci. 2021;8:759610. doi:10.3389/fvets.2021.759610

quizzes_lightbulb_red
Test your Knowledge nowTake a Quiz!
iOS ANDROID
iOS ANDROID
iOS ANDROID