Atresia colônica, bezerro, radiografia
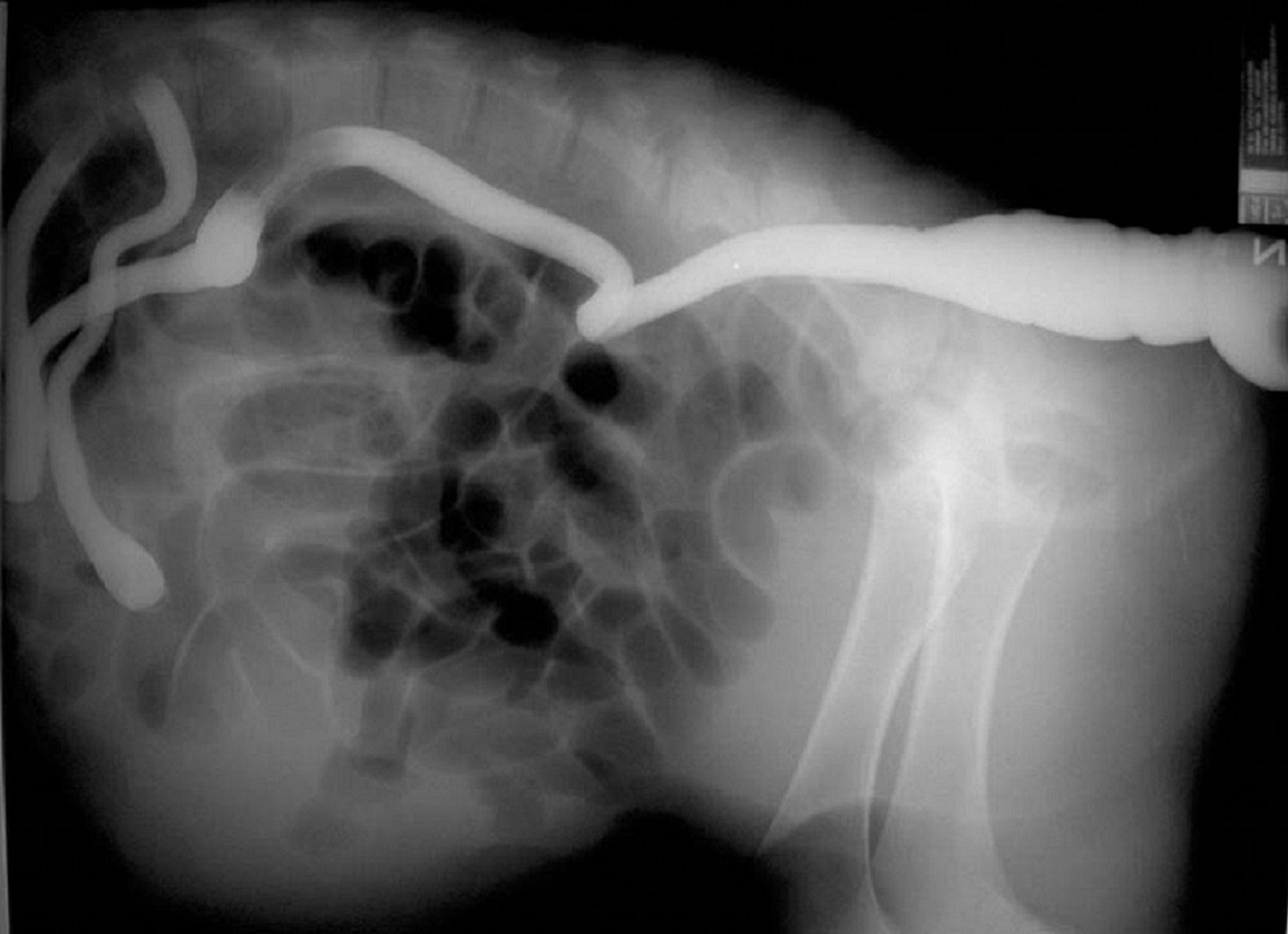
This lateral radiograph (with contrast) shows atresia coli in a calf. Contrast material has been administered rectally and continues orally only to the colon, where it stops in a blind end.
Courtesy of Dr. Sameeh M. Abutarbush.
