Candidíase em um papo, galinha poedeira
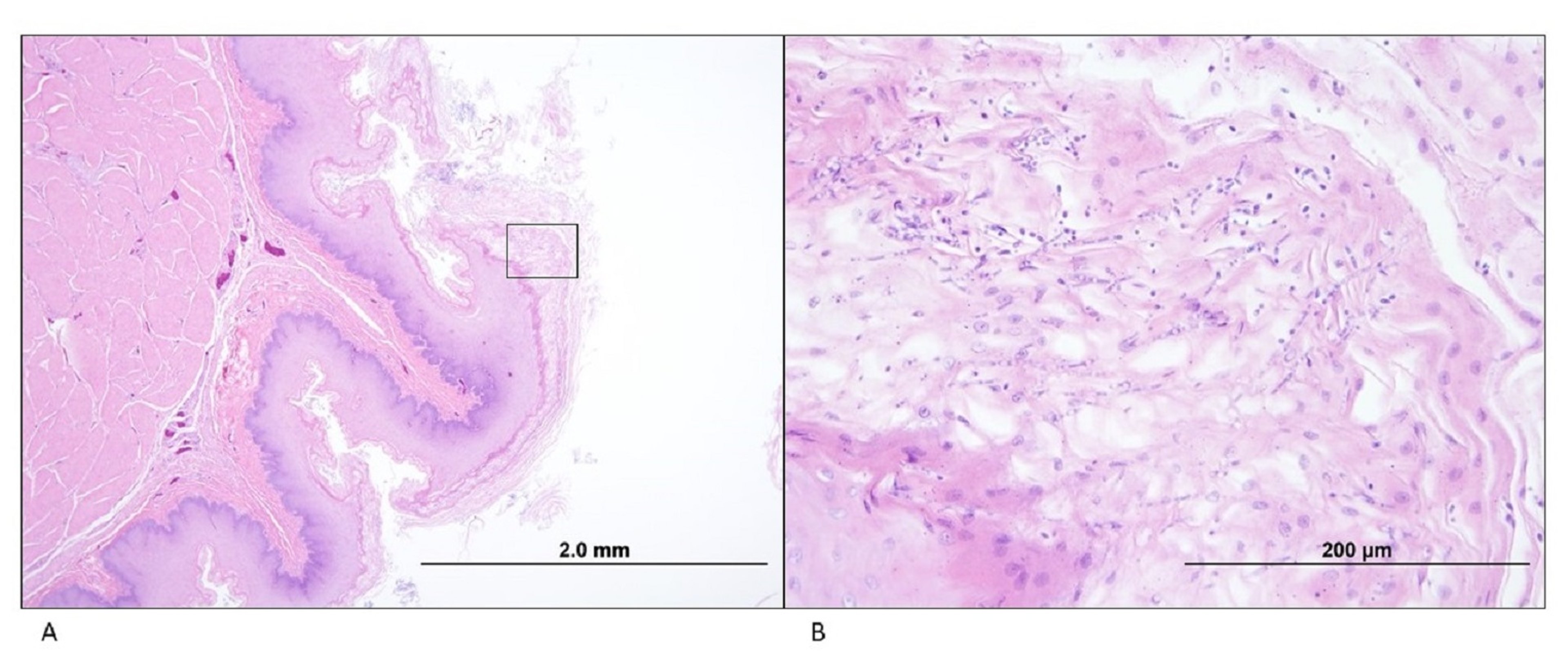
Histopathologic features of candidiasis in the crop of a layer chicken. A. Epithelial hyperplasia. (The portion within the small box is enlarged in image B). B. Epithelium containing numerous pseudohyphae and blastospores consistent with Candida spp infection.
Courtesy of Dr. Jenny Nicholds.
Nesses assuntos
