Heinz body hemolytic anemia, cat

Heinz body hemolytic anemia, cat

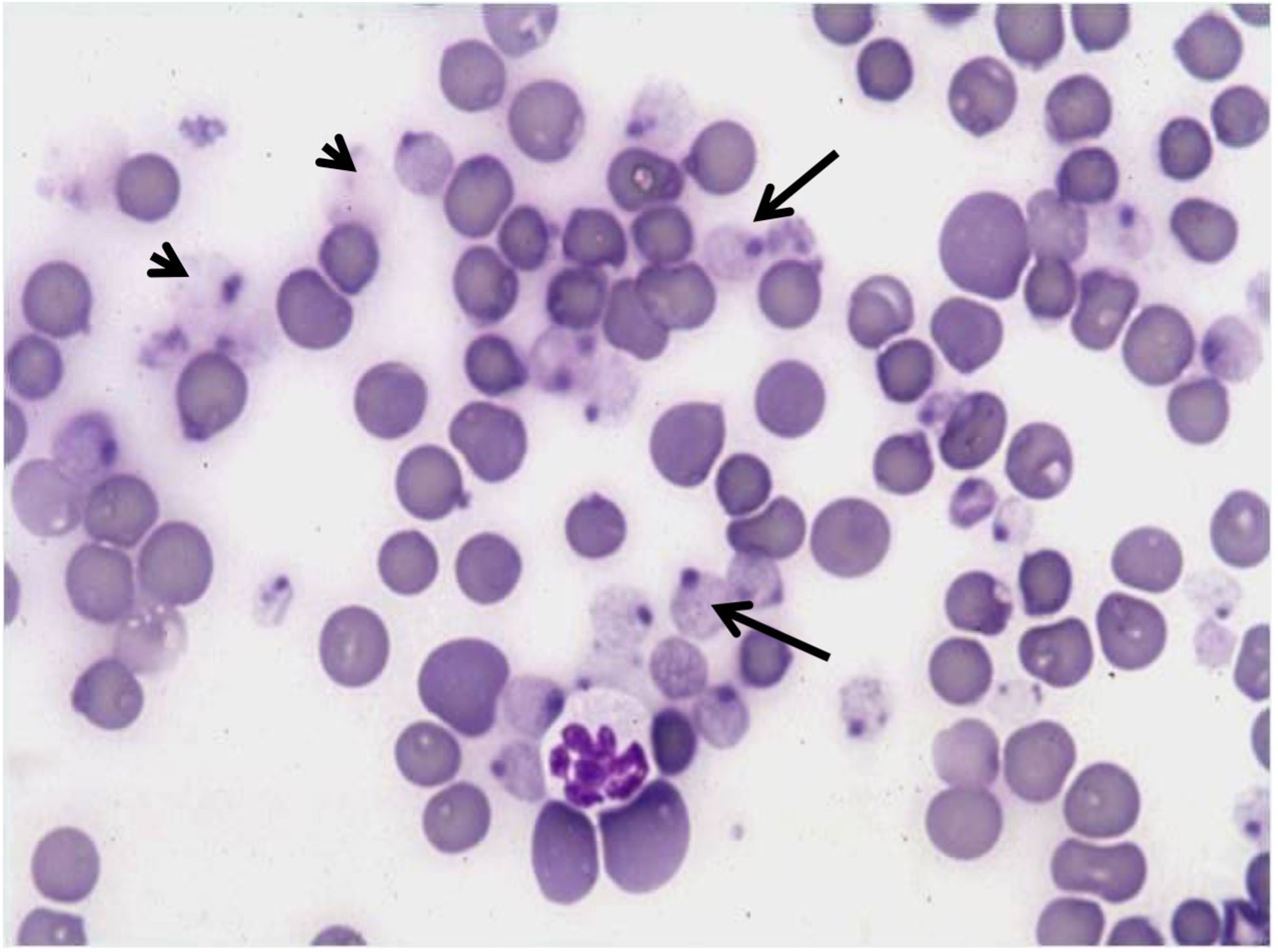
Photomicrograph of a blood smear from a cat with severe hepatic lipidosis demonstrating marked Heinz body hemolytic anemia. Lightly stained RBCs (arrows) are devitalized and hemolyzing with notable dark staining denatured globin (Heinz body) on the cell surface. A few “ghost” cells are present (remnant membranes of hemolyzed RBC, arrowheads). A single hypersegmented neutrophil is shown. New methylene blue stain distinguishes Heinz bodies. Counterstained with a modified Wright-Giemsa stain; original magnification, 1,000×.

Courtesy of Dr. Sharon Center.