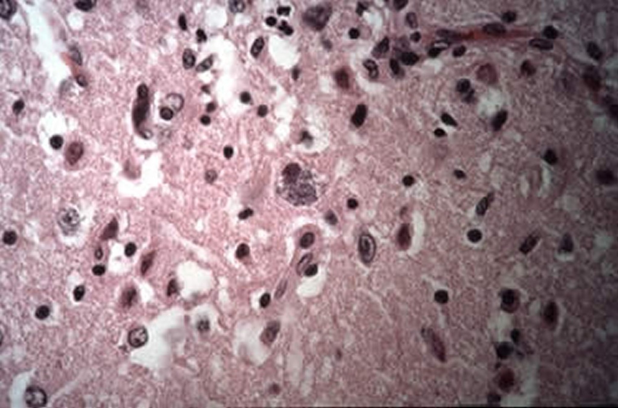
Intracellular cysts of Encephalitozoon cuniculi, brain, rabbit
Brain of a rabbit with intracellular cysts of Encephalitozoon cuniculi (H&E stain, 40X).
Courtesy of Dr. Tracy Bartick.
Nesses assuntos
Brain of a rabbit with intracellular cysts of Encephalitozoon cuniculi (H&E stain, 40X).
Courtesy of Dr. Tracy Bartick.