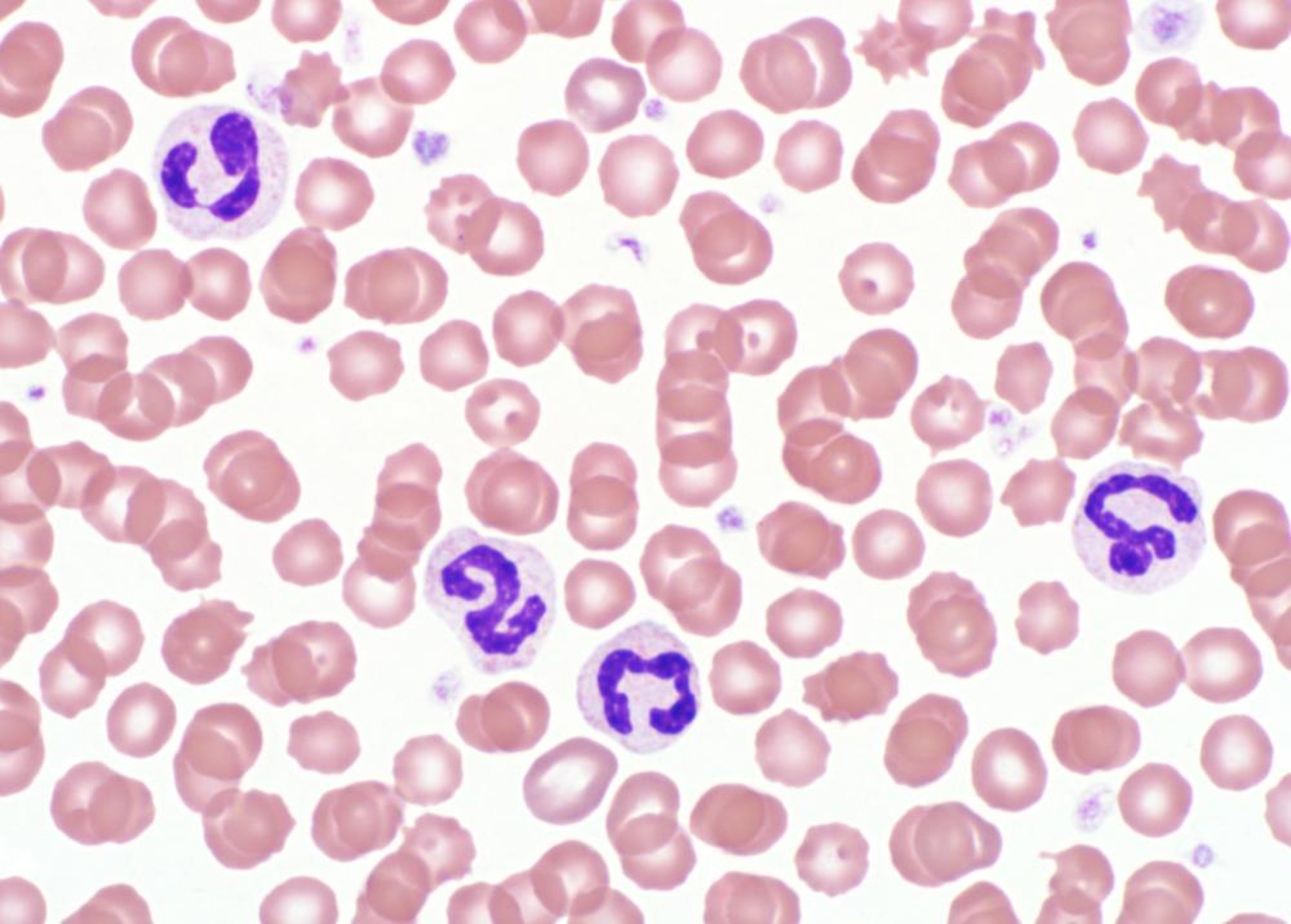
Neutrofilia, esfregaço de sangue, cão
Photomicrograph of a blood smear from a dog with neutrophilia. The cells are mature, segmented and lack toxic changes. (Wright's stain, 1,000X).
Courtesy of Dr. Darren Wood.
Nesses assuntos
Photomicrograph of a blood smear from a dog with neutrophilia. The cells are mature, segmented and lack toxic changes. (Wright's stain, 1,000X).
Courtesy of Dr. Darren Wood.