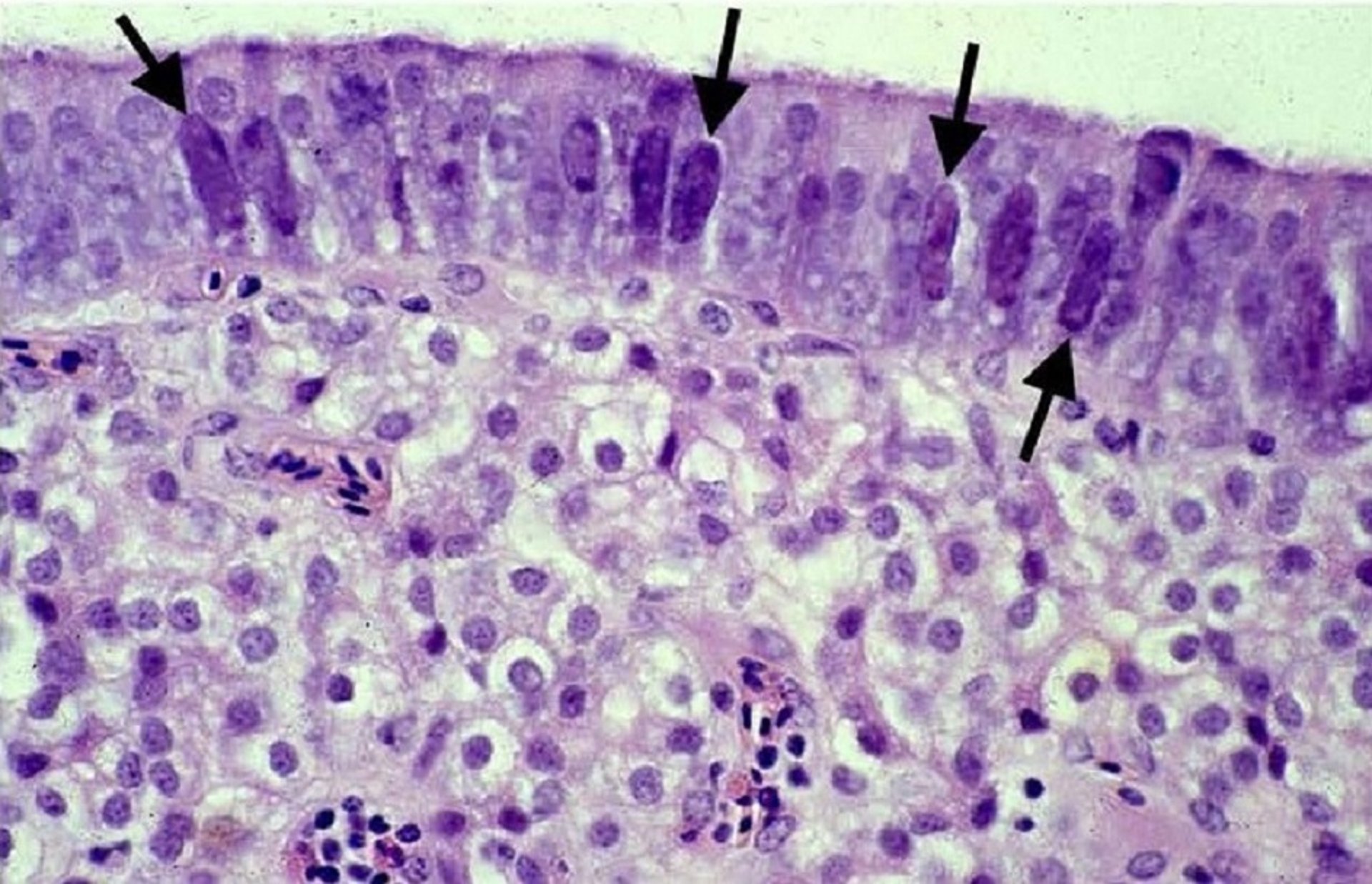
Pouch shell gland mucosa, laying hen
Photomicrograph showing the mucosa of the pouch shell gland in a laying hen 8 days after infection with Atadenovirus. Several enlarged nuclei (arrows) in the surface epithelium contain marginated chromatin and large viral inclusions (hematoxylin and eosin).
Courtesy of Dr. Joan A. Smyth.
Nesses assuntos
