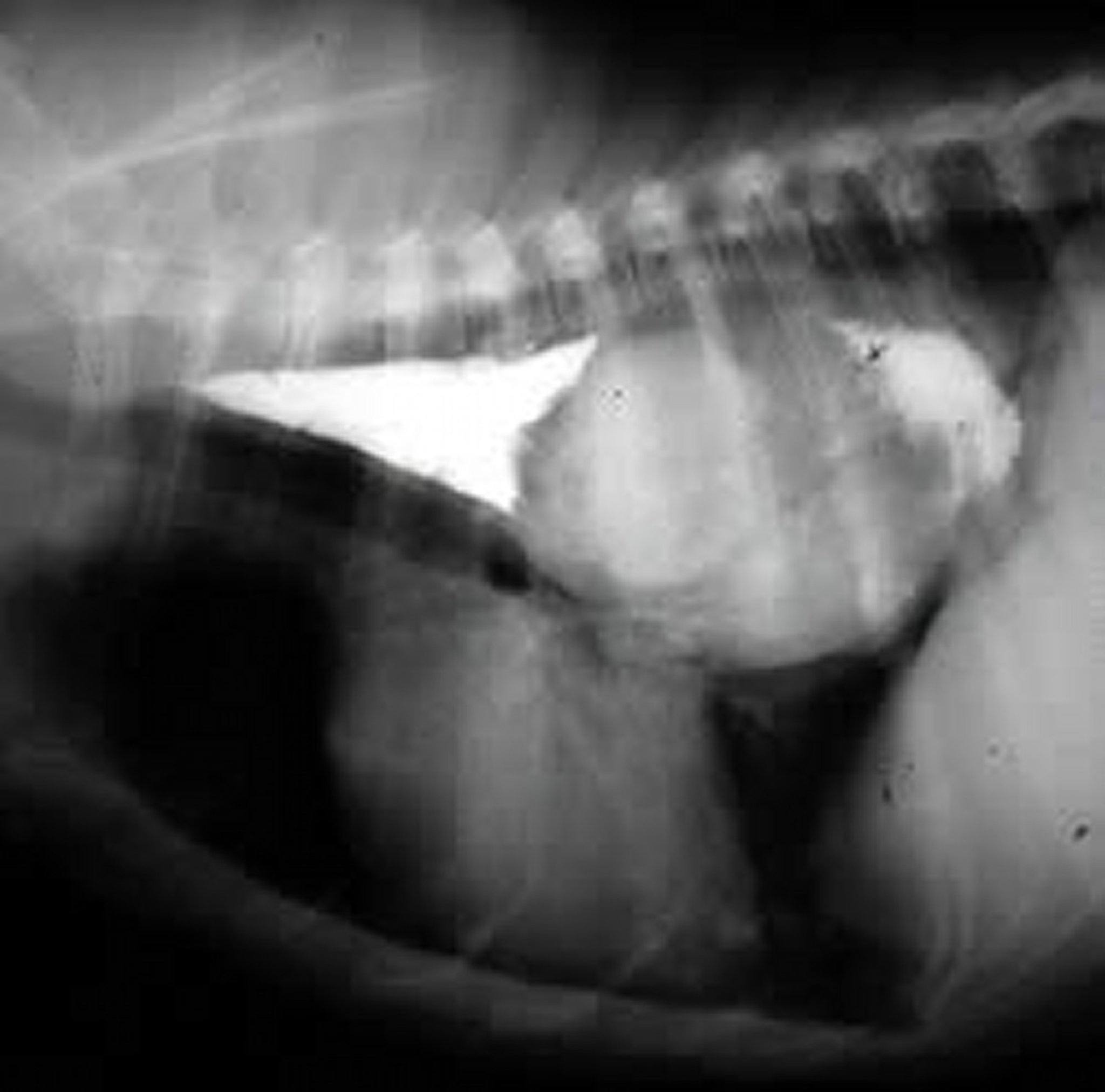
Spirocerca lupi, esôfago, cão
S lupi infection in a dog. Lateral thoracic radiograph obtained after oral administration of a positive contrast agent. In the caudal esophagus, there is a large soft-tissue opaque mass that is ventrally displacing the heart. The mass is outlined cranially and caudally by positive contrast.
Courtesy of Dr. Ronald Green.
Nesses assuntos
