History of Present Illness
Review of Systems
Past Medical History
Physical Examination
Relevant Testing
Test Results 1
Test Interpretation 1
Differential Diagnoses
Relevant Next Steps
Test Interpretation 2
Treatment Orders
Test Results 2
Question 1
Question 2
About the Case
11-year-old dog with limp
Test Interpretation 2
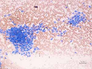
An image of a direct smear from the fine-needle aspirate is shown. (You may select only one option.)
Which of the following is a correct interpretation of the cytology?
Next