History of Present Illness
Review of Systems
Past Medical History
Physical Examination
Extra Question
Testing
Test Results
Differential Diagnosis
Relevant Next Steps
Treatment Orders
Question 1
Question 2
About the Case
Dog with a swollen left elbow
Question 2
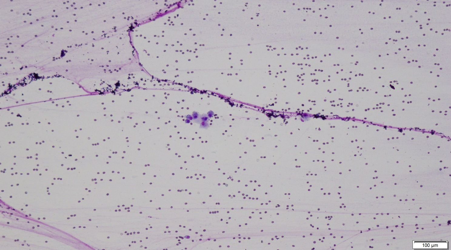
Below is an image of the synovial fluid from this dog. Which features indicate that the fluid has high viscosity? (You may select more than one option.)
This is called “windrowing” and refers to the rows [windrows] of cells formed.
Next