Horse with a mass near left eye

Additional Test Results

Blood chemistry profile, CBC, and urinalysis: Unremarkable


Ophthalmic exam results: The patient is visual in both eyes, with intact positive menace responses and pupillary light reflexes.


Cytology of fine-needle biopsy of the left mandibular lymph node: There are no squamous epithelial cells, normal or abnormal, found in the cytology sample. The node is mildly reactive and hyperplastic secondary to the inflamed lesion near the eye.


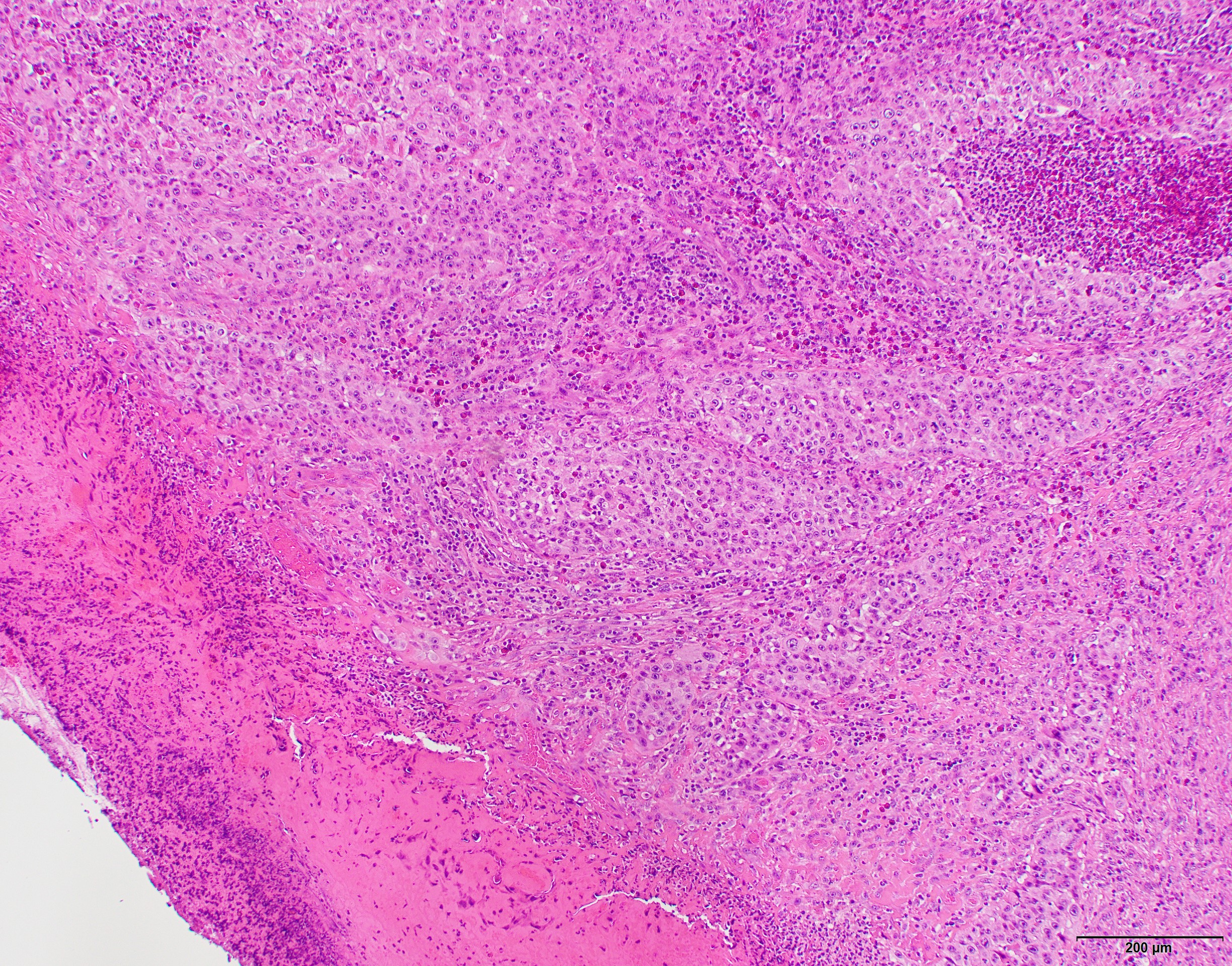
Histopathology of the eye mass: Pleomorphic population of variably shaped cells consistent with advanced squamous cell carcinoma, with surface ulceration and inflammation throughout the lesion.