logoPROFESSIONAL VERSION

Neoplasia of the Nervous System in Small Animals

ByBaye Williamson, DVM, DACVIM (Neurology), Veterinary Emergency + Referral Center of Hawaii
Reviewed ByJoyce Carnevale, DVM, DABVP, College of Veterinary Medicine, Iowa State University
Reviewed/Revised Modified Oct 2025
v3288524

Primary neoplasia of the nervous system includes tumors originating from the brain, spinal cord, or peripheral nerves. Clinical signs depend on location and may include seizures, altered mentation, abnormal sensation, or dysfunction of enervated muscles. Most tumors are presumptively diagnosed with advanced imaging (ie, MRI or CT) and definitively diagnosed with biopsy. Therapy can include surgery, radiation therapy, chemotherapy, or a combination.

Neoplasia of the nervous system has been reported in all domestic animal species.

Primary tumors of the nervous system originate from neuroectodermal, ectodermal, and mesodermal cells normally present in (or associated with) the brain, spinal cord, or peripheral nerves.

Secondary tumors affecting the nervous system can originate from surrounding structures such as bone and muscle or from hematogenous metastasis of a primary tumor in another organ. Tumor emboli can lodge and grow anywhere in the brain, meninges, choroid plexus, or spinal cord.

Dissemination or metastasis of CNS tumors is rare but can occur via the CSF pathways, especially if the tumors (eg, choroid plexus tumors, ependymoma, medulloblastoma, neuroblastoma, pinealoblastoma) are located close to the subarachnoid space or ventricular cavities. Metastasis may also occur via a hematogenous route, such as the dural sinus, with later development of remote metastasis, most often in the lung.

Tumors can also spread by direct extension to surrounding tissues, especially bone.

The osseous tentorium may be used as a reference point to localize different areas of the brain within the cranial vault. Thus, tumors in the cerebral hemispheres are often referred to as supratentorial or anterior fossa tumors, whereas those in the brainstem or cerebellum are called infratentorial or caudal fossa tumors.

Classification of Neoplasia of the Nervous System in Small Animals

Classification of nervous system tumors in animals follows the criteria used for tumors in humans and is based primarily on the characteristics of the constituent cell type, its pathological behavior, topographical pattern, and secondary changes observed within and around the tumor (see the table Tumors of the Nervous System in Dogs and Cats).

Table
Table

Immunocytochemical studies and imaging techniques may aid classification. Primary tumors typically grow slowly, whereas secondary, highly malignant, metastatic tumors and bone tumors generally progress more rapidly.

Many animal tumors have characteristics analogous to corresponding human neoplasms. A number of studies agree that approximately half of primary brain tumors in animals are meningioma and 30–40% gliomas, with the remainder comprising choroid plexus tumors, ependymoma, and primitive neuroectodermal tumors (eg, (1). In 2015, veterinary and human neuro-oncologists created the Comparative Brain Tumor Consortium (CTBC), aimed at assessing the role that naturally occurring canine brain tumors, specifically gliomas, can have in improving outcomes for both dogs and human beings (2, 3).

Within the CBTC, canine glioma diagnostic criteria have been redefined from the previous WHO system. A review of 193 cases of canine glioma resulted in a diagnosis of astrocytoma in 22.3% of cases, oligodendroglioma in 69.4%, and undefined glioma in 8.3% of cases. These revisions are common among human pathologists and allow for improved diagnostic accuracy and better treatment options for patients (4).

Epidemiology of Neoplasia of the Nervous System in Small Animals

Nervous system neoplasia is reported more often in dogs than in other domestic animals. In a 1968 survey in Northern California, the incidence of intracranial neoplasia was estimated at 14.5 cases/100,000 dogs/y and 3.5 cases/100,000 cats/y (5, 6).

Intracranial neoplasms have been observed in approximately 2–5% of dogs undergoing postmortem examination. In a 1962 retrospective study, of 6,175 dogs undergoing necropsy at a single institution, 175 (2.83%) had intracranial neoplasia (7). In a 2013 retrospective study, of 9,574 dogs undergoing postmortem examination from 1986 through 2010 at that same institution, 435 (4.5%) had intracranial neoplasia (8).

In cats, nervous system tumors are generally considered less common than in dogs. In a study of approximately 4,000 cats undergoing necropsy, 2.2% had intracranial neoplasia (9).

In one study, of 160 cats with confirmed intracranial neoplasia evaluated between 1985 and 2001, the tumors were considered an incidental finding in 30 (18.8%) cats (10).

Dogs and cats with brain tumors are typically middle-aged to older; the median age for dogs to develop brain tumors is 9 years, and for cats, over 10 years.Most brain tumors are found in animals ≥ 1 year old (ie, mature adults and older), although they are occasionally reported in younger animals. A 1992 retrospective study of young dogs (< 6 months old) indicated that the three most common sites for neoplasia (in decreasing order) were the hematopoietic system, brain, and skin (11).

No sex predilection for nervous system tumors has been definitively identified. Male cats may be at increased risk for meningiomas.

Multiple studies have shown that brachycephalic breeds—specifically Boxers, Boston Terriers, and English Bulldogs—are at increased risk of intracranial neoplasia, specifically gliomas (8, 12). Meningiomas are significantly more likely to occur in large-breed dolichocephalic dogs, with Golden Retrievers being the most commonly reported breed (8).

Pembroke Welsh Corgis and Miniature Schnauzers may be predisposed to histiocytic sarcoma of the CNS (13).

Clinical Characteristics of Neoplasia of the Nervous System in Small Animals

Brain Tumors in Small Animals

In dogs and cats, the brain is a more common site of primary tumors of the nervous system than the spinal cord or peripheral nerves. In both species, meningioma is the most commonly reported tumor.

Other commonly reported primary brain tumors in dogs include gliomas (eg, astrocytomas, oligodendrogliomas), undifferentiated sarcomas, pituitary tumors, and ventricular tumors (eg, choroid plexus tumors, ependymomas).

Previously reported cases of neoplastic reticulosis, gliomatosis, microgliomatosis, malignant histiocytosis, or the malignant form of granulomatous meningoencephalomyelitis are now classified as histiocytic sarcomas or lymphomas.

Other primary brain tumors (eg, malformation tumors), tumors of nerve cells (eg, neuroblastoma, ganglioneuroblastoma, and ganglioneuroma), pinealomas, craniopharyngiomas (a suprasellar ectodermal tumor that may destroy the pituitary gland), spongioblastomas (embryonal glioma), and medulloblastomas are rare.

Secondary tumors extending into the cranial vault from the nasal sinuses are relatively common in dogs. In some cases, usually those involving caudal nasal tumors, the only clinical signs are neurological abnormalities, such as behavioral changes, circling, paresis, seizures, or visual deficits. Respiratory signs, such as epistaxis, nasal discharge, sneezing, dyspnea, stertor, or mouth breathing, may develop after neurological signs or may be absent.

Nasal tumor types include adenocarcinoma, anaplastic chondrosarcoma, epidermoid carcinoma, esthesioneuroblastoma, neurofibrosarcoma, neuroendocrine carcinoma, and squamous cell carcinoma.

Unlike nasal cavity tumors, tumors that originate in middle or inner ear structures rarely extend into the brain.

Metastatic brain tumors are also commonly recognized in dogs, with hemangiosarcoma being the most common metastatic tumor type. In cats, metastases most frequently originate from mammary carcinomas and lymphosarcomas.

Astrocytomas are probably the most common neuroectodermal brain tumor in dogs. They are usually found in adult dogs; however, they have been reported in dogs < 6 months old. Astrocytomas are common in brachycephalic dog breeds but can occur in any breed. In dogs, astrocytomas are more likely than other primary brain tumors to occur in the diencephalon and cerebellum.

Astrocytomas consist of relatively large protoplasm-rich cells or smaller cells with many processes. The cells tend to be arranged around blood vessels. Of the several existing variants (eg, anaplastic, fibrillary, gemistocytic, protoplasmic, and pilocytic), most stain positively for glial fibrillary acidic protein (GFAP), the chemical subunit of the intracytoplasmic intermediate filaments of astrocytes.

Regressive changes found on histological examination include necrosis, mucinoid degeneration, cyst formation, vascular proliferation (often in the form of glomeruloid nests), and multinucleated giant cells. Hemorrhage is rare.

Malignant astrocytomas display nuclear polymorphism, mitotic figures, and small cells with dense, hyperchromatic nuclei.

MRI features of astrocytomas and oligodendrogliomas show common findings that include ringlike contrast enhancement, cystic regions within the mass, and contact with the lateral ventricle. No magnetic resonance features have been able to reliably distinguish between these two tumor types. Contrast enhancement is reportedly more common in high-grade tumors (14). (See MRI of astrocytoma, dog)

Astrocytomas are uncommon in cats; in one report of four cats, the tumors invaded the third and lateral ventricles (15).

Choroid plexus tumors, meningiomas, and gliomas comprise approximately 90% of all primary brain tumors. Comparatively, choroid plexus tumors are the least common of these types, occurring in approximately 4–7% of cases (1, 16). Developmentally, the choroid plexus epithelium differentiates from the primitive medullary epithelium and is related to the ependymal cells.

Choroid plexus tumors are reddish papillary growths that may bleed. Histologically, they are well defined, grow by expansion, and have a granular papillary appearance. Tumor papillae consist of vascular stromata lined by one layer of cuboidal or cylindrical epithelium. Immunocytochemical studies reveal that these tumors express epithelial but not glial differentiation, based on absence of staining with GFAP. Keratin may be expressed from some of these tumors.

In both variants of choroid plexus tumors, dissemination to other areas of the brain or spinal cord via the CSF pathways may occur after exfoliation. Obstructive hydrocephalus may occur. Meningeal carcinomatosis may follow spread of the tumor in the subarachnoid space.

Choroid plexus tumors are well-defined, hyperdense masses with marked, uniform contrast enhancement on CT scans. Marked enhancement, potentially including hemorrhage and mineralization, is also evident with MRI (see choroid plexus tumor, MRI).

Choroid plexus tumors have no apparent predilection for brachycephalic breeds and are rare in cats.

Ependymomas originate from the epithelium lining the ventricles and central canal of the spinal cord. They are rare but have been reported most frequently in brachycephalic breeds. The gray to reddish soft lobular masses tend to invade the ventricular system and meninges, which can result in obstructive hydrocephalus. Metastases within the CSF system may occur. Ependymomas of the fourth ventricle may encircle the brainstem. Both epithelial and fibrillary varieties have been described.

Histologically, cells are isomorphic, with pale or transparent cytoplasm and round, chromatin-rich nuclei. Nucleus-free zones around blood vessels are characteristic. Some ependymomas appear hemorrhagic, with mucinoid degenerative changes and cyst formation. Malignant or anaplastic ependymomas have moderate degrees of pleomorphism and necrosis and may merge into glioblastoma multiforme.

Ependymomas are uncommon tumors and, as such, descriptions of their appearance on MRI are uncommon. A recent study evaluated six cases and determined that MRI features overlap with those of other disease of the CNS. Therefore, ependymoma should remain a differential for dogs with intraventricular, intra-axial forebrain or intramedullary spinal cord masses (17).

Gangliocytomas are rare intracranial tumors reported in adult dogs of several breeds.

Histological findings include mature, neuronal-like cells with multiple processes, a central nucleus, and a nucleolus. Neuroblast-like immature cells and occasionally, newly formed myelin sheaths, also may be observed. Gangliocytomas seem to occur most often in the cerebellum. Pure gangliocytomas have no glial elements and do not express GFAP. Mineralization and extensive necrosis accompanied by edema and capillary proliferation can also develop.

Suprasellar germ cell tumors are located dorsal to the sella turcica at the base of the brain. They are often intimately associated with the pituitary gland, which may be trapped within or replaced by the germ cell tumor. These tumors are thought to result from extensive migration of germ cells during embryogenesis.

Neurological signs of germ cell tumors can be acute in onset and may include lethargy; depression; bradycardia; dilated, nonresponsive pupils; ptosis; visual deficits; and blindness. Germ cell tumors can be large—extending from the olfactory peduncles to the pons and pyriform lobes—and may envelop other cranial nerves (eg, nerves III–VII).

Histologically, the tumors usually contain a mixture of primitive germ cells, cords resembling hepatocytes, and acini and tubules of tall columnar epithelial cells. They may stain positive for fetoprotein.

Animals affected by germ cell tumors are usually 3–5 years old; Doberman Pinschers may be at higher risk for these tumors than other dog breeds. Some germ cell tumors have been misdiagnosed as pituitary tumors or craniopharyngiomas.

Glioblastoma multiforme is considered to be equated with the more malignant forms of astrocytomas and has been reported in dogs.

Most are large and found in the cerebrum. The tumor cells consist of medium-sized round or fusiform cells with isomorphic nuclei. Some glioblastomas display considerable pleomorphism, with small and large mononucleated and multinucleated cells. They are locally invasive and destructive, well vascularized, and often contain necrotic zones.

Glioblastomas sometimes express GFAP and are most common in brachycephalic breeds.

Hamartomas are formed by disorderly overgrowth of tissues normally present at a site. They are focal malformations resembling neoplasms and have been reported only rarely in dogs, usually as a subclinical finding.

Hematogenous metastatic brain tumors commonly originate from extracranial sites. In dogs, they often develop from carcinomas of the mammary glands, thyroid, bronchopulmonary epithelium, kidneys, chemoreceptor cells, nasal mucosa, squamous epithelium of the skin, prostate, pancreas, adrenal cortex, and salivary glands.

Brain metastasis from a transmissible venereal tumor has been reported in a 5-year-old male mixed breed dog (18).

Common sarcoma metastases in dogs include fibrosarcomas, hemangiosarcomas, lymphosarcomas, and melanoblastomas. Brain metastases may accompany intramedullary spinal cord metastasis in dogs with lymphosarcomas or hemangiosarcomas.

In cats, metastases stem most often from mammary carcinomas or lymphosarcomas.

Most CNS lymphomas, especially in dogs, are one part of a multicentric disease, with extensive infiltration of the choroid plexus and leptomeninges a common finding. Neoplastic angioendotheliomatosis in dogs is thought to be an angiotropic lymphoma, possibly of the B-cell line. Extraneural tumor cells sometimes localize in the meninges (eg, meningeal carcinomatosis), often in association with intestinal carcinoma or mammary adenocarcinoma.

Histiocytic sarcomas (previously called malignant histiocytosis or primary/neoplastic reticulosis) are rarely reported in dogs. Proliferation and/or infiltration of neoplastic histiocytes in the basiarachnoidal and ventricular areas (bilateral) is a characteristic feature. These cells may also infiltrate the spinal dura mater, arachnoidal space, leptomeninges, and spinal nerve roots.

Histologically, cells may have characteristic histiocytic morphology but exhibit moderate pleomorphism and numerous mitotic figures.

Malformation tumors, including epidermoid and dermoid cysts and teratomas, originate from heterotopic tissue and are rare tumors in dogs. They typically lie close to embryonal lines of closure.

Epidermoid and dermoid cysts result from inclusion of epithelial components of embryonal tissue at the time of closure of the neural tube.

Epidermoid and dermoid cysts reportedly have a predilection for young dogs (eg, 3–24 months old), although cysts have been found in older dogs.

Epidermoid and dermoid cysts usually involve the cerebellopontine angle, fourth ventricle, or both. Cysts within the fourth ventricle may secondarily compress the medulla oblongata and cerebellum.

Some epidermoid cysts are incidental findings at necropsy.

Histologically, epidermoid cysts may have a multilocular structure; most are lined by stratified squamous epithelium and contain keratinaceous debris, desquamated epithelial cells, and occasional inflammatory cells.

In contrast, dermoid cysts contain adnexal structures such as hair follicles, sebaceous glands, and sweat glands.

Cysts can measure up to 2.5 cm in diameter. Because of the tumors' location, dogs may show clinical signs of a pontomedullary syndrome (eg, trigeminal, facial, cerebellar, and/or vestibular dysfunction).

Teratomas are well-differentiated germ cell tumors arising from several embryonic germ cell layers.

Medulloblastomas are highly malignant, uncommon neuroectodermal canine tumors that almost always develop in the cerebellum.

Medulloblastomas tend to bulge into the fourth ventricle, often replacing part of the cerebellar vermis and compressing the midbrain rostrally and the brainstem ventrally. They may infiltrate the meninges, metastasize within the CSF pathways, and cause obstructive hydrocephalus.

Histologically, medulloblastomas include sheets of densely packed cells with pale cytoplasm and oval or carrot-shaped nuclei with coarse, granular chromatin. Mitotic figures are common. Regressive changes include pyknosis and karyorrhexis.

Although most cases occur in young dogs, cerebellar medulloblastoma with multiple differentiation has been described in a 4-year-old Border Collie (19).

Meningioangiomatosis is a rare, benign malformation of CNS blood vessels characterized by proliferation of the vessels and spindle-shaped, perivascular meningothelial cells in the cerebral cortex and brainstem of juvenile and adult dogs.

The meningothelial cells stain positively for vimentin (a filament protein found particularly in mesenchymal cells), which, along with the presence of mucopolysaccharides and collagen among proliferating cells, suggests mesenchymal and fibroblastic origin.

Meningiomas are extra-axial tumors. They arise from elements of the dura within the cranial and spinal spaces and are the most commonly reported brain tumors in dogs and cats.

Meningiomas account for 45% of canine and 58% of feline primary brain tumors (10, 16).

In most studies, meningiomas occur in dogs > 7 years old and in cats > 9 years old, although they do occur in young cats (< 3 years old) with mucopolysaccharidosis type I and in dogs < 6 months old.

Meningiomas are often found in dolichocephalic breeds, especially Golden Retrievers.

Canine and feline meningiomas have estrogen, progesterone, and androgen receptors. These tumors tend to grow slowly under the dura mater, although direct brain invasion has been reported. Although meningiomas are typically classified as benign tumors, their effects on the brain or spinal cord can result in substantial neurological impairment and even death as the tumor grows.

Pathological findings include globular, irregular, lobulated, nodular, ovoid, or plaquelike masses ranging in diameter from a few millimeters to several centimeters. Meningiomas are typically discrete and often are firm, rubbery, and encapsulated. They may contain granular calcifications known as psammoma bodies. In addition, there may be focal or massive calcification of the tumor.

A substantial proportion of basal and plaquelike meningiomas involve the floor of the cranial cavity, especially when they are located near the optic chiasm or suprasellar area. These tumors are also commonly found over the convexities of the cerebral hemispheres, less often in the cerebellopontomedullary region, and infrequently in the retrobulbar space (arising from the optic nerve sheath).

In cats, common locations include the tela choroidea of the third ventricle and the supratentorial meninges.

Unlike in dogs with meningioma, multiple meningiomas are frequently found in cats, which may affect the prognosis.

Hyperostosis, a thickening of bone adjacent to the meningioma, may develop, especially in cats.

Meningiomas rarely metastasize outside the brain but can extend into paranasal regions and lungs or be present as primary extracranial masses as a result of embryonic displacement of arachnoid cells or meningocytes. Those in extracranial locations differ from intracranial meningiomas primarily in their more aggressive behavior and anaplastic/malignant nature.

Meningiomas may be distinguishable from tumors within the brain parenchyma on contrast CT scans by their appearance as broad-based, peripherally located masses. Cystic and edematous meningiomas have been detected using CT and MRI. When a "dural tail" (a linear enhancement of thickened dura mater adjacent to an extra-axial mass) is detected by MRI, a meningioma is the most likely cause.

The histological classification of canine meningiomas includes angioblastic, fibroblastic, meningothelial or syncytial, psammomatous, and transitional. Papillary and microcystic forms may also occur. Tumors usually consist of large meningothelial cells or fusiform cells arranged in whorls, nests, islands, or streamlike patterns. Cell boundaries are typically ill-defined, and the nuclei contain little chromatin.

Canine meningiomas commonly have vimentin intermediate filaments. Regressive changes can include cavernous vascular formations, hemorrhage, hyalinization of connective tissue, and deposits of fat, lipopigments, or cholesterol. Many tumors have evidence of focal necrosis with suppuration—the likely cause of the reported predominance of polymorphonuclear cells in CSF in many dogs with meningioma.

A grading system for meningiomas in human patients has been adapted for meningiomas in dogs and may predict tumor behavior:

  • Grade I tumors are considered benign.

  • Grade II tumors are considered atypical.

  • Grade III tumors are considered malignant.

Most feline meningiomas are meningotheliomatous or psammomatous, often with cholesterol deposits.

In meningeal sarcomatosis, sarcomas cause diffuse thickening of the meninges; extensive hemorrhages are common. These rare tumors tend to infiltrate nervous tissue and run along blood vessels. Cell types include lymphoid, plasmacytoid, mature plasma, immunoblastic, and multinucleate giant cells.

Oligodendrogliomas are common tumors in dogs, particularly in brachycephalic breeds. Oligodendrogliomas are rare in cats.

Oligodendrogliomas consist of chromatin-rich, densely packed, round cells with perinuclear halos.

Most oligodendrogliomas grow by infiltration and destroy invaded tissue. Capillaries tend to proliferate within these tumors, producing glomerulus-like structures.

Regressive changes are similar to those in astrocytomas. Necrosis and extensive calcification are uncommon. Many canine oligodendrogliomas are mixed tumors with areas of astrocytic and, in some cases, ependymal differentiation.

The MRI features are similar to those of high-grade (malignant) astrocytomas, although in one study, oligodendrogliomas were significantly more likely to extend to the meningeal surface than astrocytomas.

Pituitary tumors are common in dogs, with an apparent predilection for brachycephalic breeds. They occur infrequently in cats.

Pituitary tumors may be functional or nonfunctional. Either type can cause hypopituitarism by mechanical or functional impairment of remaining pituitary tissue, although this effect is uncommon. Nonfunctional canine pituitary tumors are common and are usually chromophobe adenomas, although adenocarcinomas have also been reported. Functional pituitary tumors associated with the adenohypophysis are typically characterized by pituitary-dependent hyperadrenocorticism (PDH).

Pituitary microadenomas are those measuring < 10 mm in height. There is still debate over whether the neurological signs observed in affected dogs are related to mass size alone or whether they are a consequence of the growing pattern. However, pituitary macroadenomas are considered more likely to cause neurological signs than pituitary microadenomas; 10–30% of dogs with PDH eventually developing a pituitary tumor causing neurological signs (20, 21, 22).

As many as 50% of dogs with PDH and large chromophobic macroadenomas (> 10 mm in height on MRI) may not show clinical signs related to an intracranial mass. Dogs with pituitary macroadenomas may develop neurological signs. The most frequently observed signs include abnormal mentation and behavior, gait and postural reaction abnormalities, visual deficits, cervical hyperesthesia, and seizures. In one study, all dogs with neurological abnormalities persisting for more than 1 month had an enlarged pituitary tumor (21, 22, 23).

Most pituitary tumors, especially those derived from the pars distalis, tend to grow dorsocaudally because the diaphragma sella is incomplete. Chromophobic canine tumors from the pars intermedia are smaller and less destructive. Dorsal extension of pituitary tumors can lead to compression and obliteration of the infundibulum, ventral portion of the third ventricle, hypothalamus, and thalamus and may eventually impinge on the internal capsule and optic tract.

Hypothalamic or median eminence involvement may cause central diabetes insipidus (especially in middle-aged and older dogs with neurological signs), manifesting as polyuria, polydipsia, and isosthenuria or hyposthenuria. Alteration in water balance results from interference with the synthesis of antidiuretic hormone (ADH) in the supraoptic nucleus or release of ADH into capillaries of the pars nervosa.

Although pituitary tumors generally do not lead to visual impairment, acute blindness and dilated, nonresponsive pupils can occur with pituitary masses that compressed the optic chiasm.

Approximately 80% of cats with Cushing disease have PDH; tumor types include pituitary microadenomas, macroadenomas, and adenocarcinomas (24). Pituitary acidophil adenomas, especially the large variety, have been associated with acromegaly and nervous system signs (eg, circling, seizures) in cats, accompanied by insulin-resistant diabetes mellitus and high serum growth hormone concentrations.

Histologically, pituitary tumors include polygonal, round, and cylindrical cells arranged in close contact with blood vessels or formed into islands of cells divided by connective tissue. The cell pattern may be uniform, resembling normal pituitary tissue. Many pituitary tumors contain both chromophobic and chromophilic cells. Regressive changes include cyst formation, necrosis, and hemorrhage.

MRI with contrast enhancement is extremely helpful to visualize microtumors (3–10 mm in diameter) and macrotumors (≥ 24 mm) in dogs with PDH, regardless of neurological signs. MRI and CT of pituitary tumors reveal minimal peritumoral edema, uniform contrast enhancement, and well-defined margins; however, tumors < 3 mm in diameter may not be visible.

Adrenal and pituitary tumors can coexist in dogs with hyperadrenocorticism, complicating test results and making diagnosis and treatment more difficult.

Pituitary tumors are associated with various endocrine signs, including acromegaly, abnormal hair coat, gonadal atrophy, polydipsia, polyuria, and obesity. Behavioral changes, circling, paresis, seizures, or visual deficits may result from extension of primary nasal cavity tumors into the cranial vault. Respiratory signs, such as dyspnea, epistaxis, nasal discharge, sneezing, stertor, or mouth breathing, may follow neurological signs or may not occur at all.

Primary skeletal tumors do not typically cause neurological signs. Multilobular osteochondroma originates in the flat bones of the skull, usually in older medium- or large-breed dogs and appears as a firm, fixed mass. It may erode the cranium and compress, rather than infiltrate, underlying brain tissues.

Radiographically, multilobular osteochondroma contains nodular or stippled areas of mineralization, resulting in a characteristic “popcorn ball” appearance. Microscopically, the tumor contains multiple lobules of osseous and chondroid tissue.

Treatment of multilobular osteochondroma involves aggressive resection of the tumor with wide surgical margins, because chemotherapy and radiotherapy are not effective. Local recurrence is common (78%) in high-grade tumors and occurs in 30% and 47% of low- and intermediate-grade tumors, respectively. Metastasis frequently occurs (in as many as 58% of cases) but usually late in the disease course (> 1 year); metastasis also depends on grade, with rates of 75% in high-grade tumors and 60% in intermediate-grade tumors, as opposed to 30% in low-grade tumors (25, 26, 27).

Vertebral osteochondroma is the spinal cord counterpart.

Spinal Cord Tumors in Small Animals

Spinal cord tumors are relatively common in cats and dogs. They are generally classified according to their relationship with the spinal cord and meninges as extradural, intradural-extramedullary, or intramedullary. Depending on tumor location, any of the four spinal cord syndromes (ie, cervical, cervicothoracic, thoracolumbar, or lumbosacral) may be anticipated.

Regardless of tumor type, the mean age of most dogs with spinal tumors is approximately 6 years, and tumors appear to be more common in medium and large breeds. Cats with lymphosarcoma tend to be younger (mean age of approximately 3.5 years), possibly because of the infectious etiology (ie, feline leukemia virus) of most cases. However, age alone does not preclude a diagnosis of spinal tumor.

The clinical course for the various tumor types and locations is not clearly defined. Dogs and cats with spinal tumors may have nonspecific discomfort that progresses to neurological deficits. Sudden neurological decline or a sudden increase in pain is possible, especially in cases of pathological fracture of a vertebral body.

In the case of extradural or intradural spinal cord tumors, the tumor may grow slowly, giving the unaffected spinal parenchyma time to compensate. Clinical signs may not become apparent until after substantial tumor mass has filled up the spinal canal. Tumors involving the brachial plexus or lumbosacral plexus often present first as unilateral lameness that is poorly responsive to analgesics. Later, focal muscle atrophy consistent with the nerve affected occurs, eventually followed by spinal cord dysfunction when the vertebral canal is invaded.

Extradural tumors are found outside the dura mater and cause spinal cord compression. They are the most common spinal tumors in both cats and dogs. The most frequent types of canine spinal cord tumors are primary malignant bone tumors and tumors metastatic to bone and soft tissue.

Primary bone tumors include the following:

  • chondrosarcoma

  • fibrosarcoma

  • hemangioendothelioma

  • hemangiosarcoma

  • multiple myeloma

  • osteochondroma or multiple cartilaginous exostosis

  • osteosarcoma

Many secondary vertebral tumors in dogs have also been reported:

  • anaplastic tumors

  • aortic body tumors

  • bronchogenic carcinoma

  • chemodectoma

  • fibrosarcoma

  • ganglioneuroma

  • hemangiosarcoma

  • lymphosarcoma

  • malignant melanoma

  • mammary carcinoma

  • osteosarcoma

  • pancreatic adenocarcinoma

  • perianal gland carcinoma

  • prostatic carcinoma

  • rhabdomyosarcoma

  • Sertoli cell carcinoma

  • squamous cell carcinoma

  • thyroid carcinoma

  • tonsillar carcinoma

  • transitional cell carcinoma

An extradural ganglioneuroma and its undifferentiated counterpart, ganglioneuroblastoma, have also been reported in dogs.

Primary vertebral tumors are rare in cats, with osteosarcoma being the most frequently reported. Metastatic, extradural spinal cord tumors are unusual in dogs, but extradural lymphosarcoma is the most common spinal tumor in cats. In most cases, these tumors are secondary to lymphosarcoma elsewhere in the body, although primary spinal cord lymphosarcomas have been reported sporadically in dogs.

Neurologic symptoms of lymphosarcoma in cats may be the initial presentation and lack any peripheral lymphadenopathy or evidence of systemic disease. In a study of spinal lymphosarcoma in 23 cats, extraneural involvement was not found in 10 (43.5%) cases, and the tumors were solitary in 18 (78.3%) (28). A predilection for the thoracic and lumbar vertebral canal was noted; however, the tumors can develop in any spinal region. Three of the tumors affected the brachial plexus cervical roots.

Spinal lymphomas in cats may extend over multiple vertebral bodies and involve more than one level of the spinal cord but are reported most commonly in the thoracolumbar spine. Leptomeningeal spinal cord involvement is not common in cats.

Myxomas (benign) and myxosarcomas (malignant) are tumors originating from fibroblasts with an abundant myxoid matrix composed of mucopolysaccharides. These have been rarely described to arise from the spinal cord (in extradural and intradural-extramedullary locations) as well as the eye and brain in dogs (29, 30). Histologically, these tumors were reported to resemble soft tissue myxomas, with polygonally shaped cells with gray vacuolated cytoplasm that stained positive for S-100 protein antibody.

Rarely, primary and metastatic mast cell tumors have been reported in the spinal cord of dogs (31, 32).

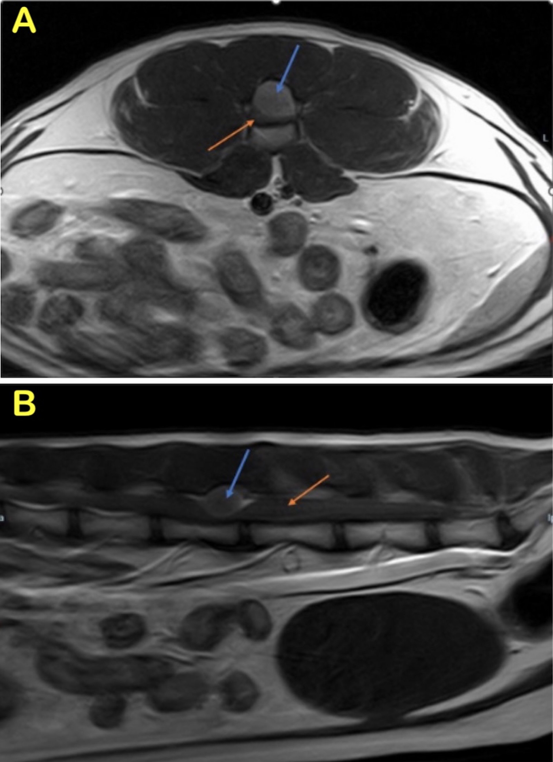
Intradural-extramedullary tumors are found in the subarachnoid space and are estimated to account for approximately 35% of all spinal cord tumors. They are most commonly meningiomas or nerve sheath tumors (eg, neurofibromas, neurilemmomas, and schwannomas) that grow into the vertebral canal and compress the spinal cord (33, 34). Cytoreductive surgery is the treatment of choice and may be used in conjunction with chemotherapy or radiation therapy.

In a report of spinal cord tumors in 29 dogs, nerve sheath tumors were the second most common type after vertebral tumors (35). Nerve sheath tumors most commonly affect the brachial plexus. In cases where the tumor involved the spinal canal, dogs experienced shorter relapse-free intervals and survival times (36, 37).

A primary intradural-extramedullary tumor with a predilection for T10 through L2 spinal cord segments in young dogs, particularly retrievers and German Shepherd Dogs, has been variously diagnosed as ependymoma, medulloepithelioma, nephroblastoma, or neuroepithelioma. The origin of this tumor is uncertain, and immunocytochemical studies have not supported a neuroectodermal origin. Monoclonal antibody studies suggest it may be a nephroblastoma.

Most cases occur in dogs 5–36 months old, with males and females affected equally.

Clinical signs include a thoracolumbar syndrome.

Results of CSF analysis are usually normal.

The extramedullary masses are tan to grayish-white and 1–3 cm long. They are generally found dorsal and lateral to the spinal cord, may entrap the spinal roots, and may be accompanied by areas of hemorrhage and severe spinal cord compression.

Histological findings include solid sheets of ovoid to fusiform cells, interspersed with areas of acinar and tubular differentiation, rudimentary glomeruli, and focal squamous metaplasia.

Intramedullary tumors are the least common of the three categories of spinal cord tumors, with a reported frequency of 15–24%. Primary glial tumors (eg, astrocytoma, choroid plexus papilloma, ependymoma, oligodendroglioma, and undifferentiated sarcoma) are the most commonly diagnosed. Intramedullary spinal cord metastasis is an uncommon complication of systemic malignancy in dogs, and neurological signs may be the first indication of systemic malignancy.

The mean age of affected dogs is approximately 6 years.

Any part of the spinal cord can be involved, and brain metastasis may occur.

Malformation tumors rarely affect the spinal cord. In one report, a 2-year-old female Rottweiler that developed a thoracolumbar syndrome had an intramedullary epidermoid cyst (38). The gray to off-white cyst was approximately 2 cm long, 1 cm in diameter, and extended from T13 through L2 spinal cord segments. The empty lumen was lined by simple stratified squamous epithelium or, in a few regions, by desquamating keratinized epithelium containing keratohyaline granules. The spinal cord was severely compressed. This type of cyst may arise from growth of primordial epithelial cells entrapped during closure of the neural tube.

Tumors of the Peripheral Nerves in Small Animals

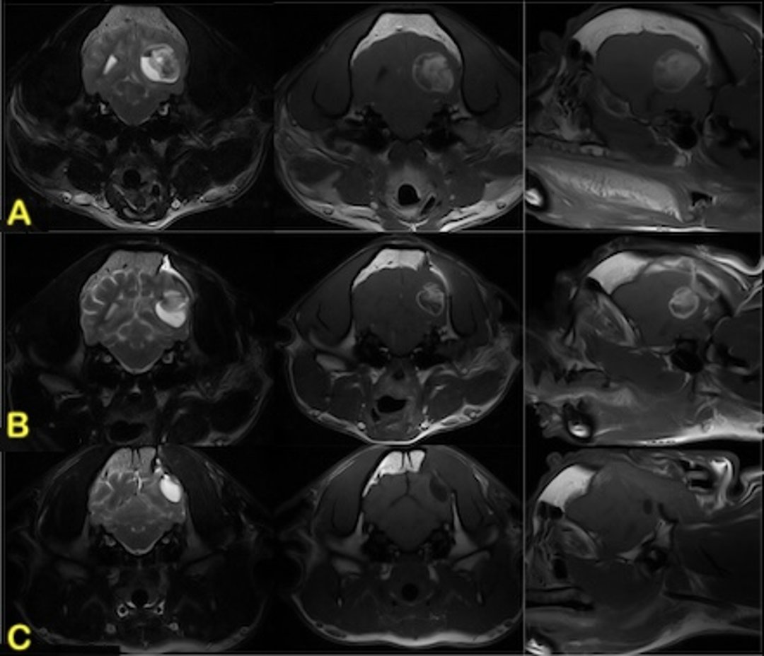
Tumors of cranial and spinal nerves and nerve roots are common in dogs, cattle, and horses but rarely occur in cats. In one report, peripheral nerve tumors accounted for approximately 27% of canine nervous system tumors. Differing opinions on the cell of origin have led to confusion over the terminology used to describe these tumors. Whereas schwannoma, neurilemmoma, and neurofibroma are common, interchangeable designations, the term malignant peripheral nerve sheath tumors (MPNST) is recommended, because many of these tumors are malignant (based on cytological criteria), and determining the cell of origin is usually impossible.

Mid to caudal cervical or rostral thoracic nerve roots, especially ventral roots, are the most common sites for MPNST. These tumors frequently involve nerves of the brachial plexus, often appearing as bulbous or fusiform thickenings of one or more nerves. They can spread to other nerves once they advance to the common brachial plexus bundle.

Peripheral nerve tumors typically result in slow, progressive, unilateral thoracic limb lameness and muscle atrophy, often involving the infraspinatus and supraspinatus muscles. Affected animals may display a unilateral Horner syndrome, pain on leg movement, or axillary pain on palpation (an axillary mass may be palpable). They may lick or chew at the foot or carpus of the affected limb.

Intradural-extramedullary spinal cord compression is most common with tumors located at the spinal nerve roots, although more peripherally located tumors occasionally may invade the vertebral canal. The trigeminal is the cranial nerve most often affected by MPNST, producing clinical signs of unilateral trigeminal nerve dysfunction (eg, unilateral atrophy of the masseter and temporalis muscles).

MPNSTs affecting the glossopharyngeal, accessory, and vagus nerves have also been reported. Brainstem compression and local vertebral erosion have been reported.

Peripheral nerves can also be affected by other tumor types (eg, giant cell sarcoma with cervical involvement, malignant tumor of the apocrine sweat glands, and sarcoma extending into the brachial plexus have been described in dogs). Peripheral tumors of neuronal origin, such as ganglioneuromas and their more undifferentiated counterpart, ganglioneuroblastomas, are extremely rare but have caused extradural spinal cord compression in dogs.

Sympathetic ganglia are thought to be the source of ganglioneuromas. Lymphosarcomas can involve cranial and spinal nerves and nerve roots in cats and dogs and may extend intracranially. Myelomonocytic neoplasia of the trigeminal nerve and ganglia, leading to a dropped mandible and symmetric atrophy of masticatory muscles, has been reported in dogs.

Tumors of the ear canal (eg, ceruminous adenocarcinoma, fibrosarcoma, and squamous cell carcinoma), as well as osteosarcoma of the skull, can affect the facial nerve or one of its branches.

Neurofibromas rarely involve the vestibulocochlear nerve.

Cranial nerves may be compressed by meningiomas located on the floor of the cranial vault.

The vagosympathetic trunk may be compressed by aortic body tumors.

Also see Diseases of the Peripheral Nerves and Neuromuscular Junction.

Other Clinical Syndromes Associated With Tumors of the Nervous System

Cerebral, hypothalamic/diencephalic, midbrain, cerebellar, pontomedullary, and vestibular syndromes associated with focal discrete intracranial masses might be expected, depending on tumor location.

Accurate anatomical localization is possible in many cases, especially in the early stages of tumor growth. However, correlation of clinicopathological signs with tumor location may be impossible because tumor location may be masked by secondary changes (eg, brain herniation, cerebral edema, hemorrhage, obstructive hydrocephalus, tissue necrosis, and tumor spread within the brain) that independently cause clinical signs.

Partial brain herniation can result from increased intracranial pressure and/or shifts in the brain caused by the tumor. Care must be taken to maintain optimal oxygenation and avoid intracranial hypertension during diagnostic tests that involve anesthesia and CSF sampling because of the increased risk of herniation.

Several types of herniation have been described:

  • Subfalcine: The cingulate gyrus is pushed under the falx cerebri toward the unaffected hemisphere, leading to compression of the opposite cingulate gyrus.

  • Caudal transtentorial: The occipital or temporal lobe (primarily the parahippocampal gyrus) is pushed under the tentorium cerebelli, often causing dorsoventral and lateral compression of the midbrain at the rostral colliculi and partial occlusion of the mesencephalic aqueduct. Caudal displacement of the diencephalon and midbrain can also occur. Clinical signs include initial pupillary constriction, often followed by mydriasis, tetraplegia, and coma.

  • Rostral transtentorial: The cerebellar vermis pushed under the tentorium cerebelli may lead to flattening of the rostral cerebellum, marked compression and rostral displacement of the brainstem, and compression of the temporal cortex. Despite the gross pathology, clinical deficits may be absent.

  • Cerebellar tonsillar: Cerebellar tonsillar herniation (especially the caudal lobe of the cerebellar vermis) through the foramen magnum compresses the underlying medulla oblongata and may cause malacia and hemorrhage. Apnea, hypoxia-induced coma, and tetraplegia may occur. Concurrent foramen magnum and caudal transtentorial herniation may cause dysfunction in both the midbrain and medulla oblongata. Herniation combined with attenuation of the ventricular system, especially at the level of the mesencephalic aqueduct, can create obstructive hydrocephalus. Increased intracranial pressure may lead to ischemic necrosis of the herniated tissue.

Initially, seizures and behavioral changes may be the only abnormalities associated with tumors involving the rostral cerebrum (eg, olfactory and frontal lobes).

Lesions of the frontal and prefrontal lobes may result in no clinical signs. Acute blindness may be the initial clinical sign in animals with tumors in the region of the optic chiasm (eg, pituitary tumors, paranasal sinus carcinoma, polycentric lymphosarcoma, and suprasellar germ cell tumors).

Papilledema (often bilateral) is thought to result from a generalized increase in intracranial pressure.

A variety of causes (eg, multiple, small metastatic masses from extracranial tumors, especially with malignant melanoma and hemangiosarcoma) may lead to multifocal clinical signs associated with CNS tumors.

Other tumors, such as carcinomas (pulmonary or mammary), tend to produce fewer, larger metastases. The cerebrum, hippocampus, and cerebellar cortex are common sites for hematogenous metastases.

Extraneural tumor cells sometimes localize in the meninges (eg, meningeal carcinomatosis associated with mammary adenocarcinoma or intestinal carcinoma).

Multifocal syndromes may also result from primary CNS tumors in multiple sites, extension of an original tumor to another site, or metastasis via the CSF.

Choroid plexus papillomas and ependymomas tend to obstruct cerebrospinal pathways because of their ventricular orientation, especially when they arise in the fourth ventricle. Neurological signs associated with ventricular tumors result from the tumor location and the degree of ventricular dilation caused by obstructive hydrocephalus. Clinical signs are often insidious with both of these tumors; the clinical course generally is protracted, ranging from months to years.

Extraneural immunoproliferative diseases in dogs and cats (eg, multiple myeloma and macroglobulinemia-associated lymphocytic leukemia) can also result in a range of intermittent cranial neurological signs, including disorientation, ataxia, intention tremor of the head, visual impairment, circling, and staggering or falling. Intravascular erythrocyte aggregation impairs blood flow in the affected areas and probably leads to the transient clinical signs.

Diagnosis of Neoplasia of the Nervous System in Small Animals

  • Imaging studies

  • CSF and tumor sampling/biopsy

A variety of diagnostic imaging aids, including plain-film radiography, contrast radiography (eg, myelography), and specialized radiographic techniques such as radionuclide imaging (scintigraphy), CT, and MRI, are used to diagnose nervous system tumors. These techniques provide information (eg, axial origin, location, shape, pattern of growth, and edema) that can be important when determining prognosis, therapy, and outcome.

Some indices of malignancy (eg, edema, extension of growth across the midline, poor margin definition, and tissue invasion) have been defined using MRI.

Many tumor types can be presumptively diagnosed based on location, appearance, and contrast-enhancement patterns. Caution must be exercised, however, because presumptive diagnoses made after imaging are found to be incorrect in approximately 30% of patients after a histopathological diagnosis is obtained.

Pearls & Pitfalls

  • Presumptive diagnoses made after imaging are found to be incorrect in approximately 30% of patients after a histopathological diagnosis is obtained.

Radiography in Neoplasia of the Nervous System

Bone neoplasia may be observed with plain-film radiography. Intracranial tumors are better evaluated with MRI.

Myelography in Neoplasia of the Nervous System

Historically, myelography has been used to evaluate the spinal cord for compressive or expansile lesions. Clinical signs of extradural, intradural-extramedullary, and intramedullary masses vary on myelography.

Extradural lesions are located outside the dura mater, resulting in attenuation of the dural tube and spinal cord. Deflection of the contrast column away from the vertebral canal, resulting in a widened epidural space, confirms an extradural lesion.

Intramedullary-extramedullary lesions develop in the subarachnoid space, where they act as wedges, displacing the dura mater toward the bony vertebral canal and the spinal cord toward the contralateral vertebral canal. Contrast material abuts the cranial and caudal margins of the tumor, resulting in a characteristic "cup" or "golf tee" appearance.

In contrast, intramedullary tumors displace the spinal cord material from within, enlarging the circumference of the spinal cord and attenuating the contrast material in the subarachnoid space surrounding the tumor.

Because myelography does not image the lesion directly but reflects how the lesion affects CSF and the spinal cord, it cannot distinguish between different diseases, such as intervertebral disc extrusion, fungal granuloma, neoplasia, or myelitis.

Myelography has largely been in decline with the advent of CT and MRI and the superior diagnostic quality they provide.

MRI in Neoplasia of the Nervous System

MRI is the gold standard for brain tumor imaging.

The specificity of MRI exceeds 90% for canine and feline brain neoplasia, although the reported sensitivities for classification of specific tumor type are highly variable.

Solitary extra-axial, meningeal-based lesions (meningioma, histiocytic sarcoma, lymphoma, solitary brain metastasis, granular cell tumor, hemangioblastoma, and embryonal tumor) share characteristic imaging features, including broad contact with the dural base, absence of normal brain parenchyma present between the lesion and the dura, expansion into the subarachnoid space, and contrast enhancement. A dural tail sign (a linear region of thickened and enhancing dura mater on postcontrast imaging extending away from the center of the lesion) also commonly occurs, although it is not pathognomonic (39, 40, 41).

Solitary sellar and parasellar extra axial mass lesions typically include tumors of pituitary origin, although parasellar lesions may arise from the numerous neurovascular structures located around the sella turcica.

Microadenomas can be challenging to detect, especially in cases without clinical signs associated with an endocrinopathy.

Diagnosis of large pituitary tumors (macrotumors) is typically straightforward. These masses occupy the pituitary fossa, extend dorsally or laterally into the parasellar region, and demonstrate marked contrast enhancement.

Solitary intra-axial mass lesions are those arising from the neural parenchyma, most commonly oligodendrogliomas and astrocytomas.

A key feature on MRI is the presence of brain tissue between the lesion borders and the meninges (42, 43). A "claw sign" occurs when an expansile lesion with an organ creates thinning of the surrounding parenchyma. Intracranially, this occurs from the formation of a sharp angle at the border of the lesion and the pial surface.

Gliomas have variable MRI appearances, and imaging features may overlap substantially with nonneoplastic diseases, such as abscesses, ischemic and hemorrhagic infarctions, fungal granulomas, and immune-mediated encephalitides. Diffusion-weighted imaging sequences can be used to help differentiate between these possible lesions.

The majority of gliomas have been documented in the forebrain. Compared with astrocytomas, canine oligodendrogliomas are more likely to be T1W hypointense, associated with smooth margins, contacting the ventricles or brain surface, and distorting the ventricles, and less likely to be associated with severe peritumoral edema (3, 44, 45). Contrast enhancement is variable, but a ring-enhancing pattern, where only the periphery of the lesion enhances, is typically associated with gliomas; however, it can be associated with other lesions (eg, abscesses) as well (46).

Intraventricular mass lesions are those found within the lateral ventricles, interventricular foramina, third ventricle, mesencephalic aqueduct, fourth ventricle, or lateral apertures.

Choroid plexus tumors) are the most common intraventricular mass lesions, and nearly 50% of canine choroid plexus tumors are associated with the fourth ventricle (47). Choroid plexus tumors are iso- to hyperintense on T1W and T2W sequences and typically demonstrate marked contrast enhancement. Dilation of the ventricular system occurs due to obstructive hydrocephalus. Choroid plexus tumors may appear as multiple intraventricular or subarachnoid contrast-enhancing masses (ie, drop metastases).

Multifocal intra-axial mass lesions are most commonly associated with hematogenous metastases of systemic neoplasms (hemangiosarcoma, carcinoma, melanoma).

CT in Neoplasia of the Nervous System

MRI is considered superior to CT for visualizing pathological changes in the brain because its analytic sensitivity allowing identification of soft tissue alterations is greater (48). Lesions in the brainstem and cerebellum commonly fail to be identified when CT is used because of beam-hardening artifacts. However, CT is more sensitive than MRI for visualizing bony changes such as osteolysis and hyperostosis (49, 50, 51).

Few studies have evaluated the agreement between MRI and CT when visualizing intracranial lesions. One study demonstrated substantial agreement between the modalities in identifying whether lesions were solitary or multiple, identifying a mass effect, and contrast enhancement (52). However, CT had poor agreement with MRI in visualizing lesion dimensions and detecting lesions within the temporal and piriform lobes and the brainstem.

CSF Analysis in Neoplasia of the Nervous System

Analysis of CSF may reveal moderate increases in total protein concentration or total WBC count. Tumor cells are infrequently seen in CSF from animals with brain or spinal cord neoplasia; however, malignant cells have been reported in dogs and cats with intracranial and spinal cord (extradural and intramedullary) lymphosarcomas as well as with intraventricular tumors. In the case of choroid plexus tumors, elevated total protein concentration is more indicative of the carcinoma variant than of the papillomas.

Prognosis and Treatment of Neoplasia of the Nervous System in Small Animals

  • Prognosis: extent of tissue damage, tumor location and rate of growth, and surgical accessibility

  • Treatment: surgery, radiation therapy, and chemotherapy

Palliative care for patients with brain tumors centers on treatment such as controlling seizures, relieving intracranial pressure and inflammation, and minimizing pain.

The median survival time for palliatively treated brain tumors was 69 days in one study; however, the tumor's location was the most important prognostic variable. Dogs with infratentorial tumors had a median survival time of 28 days, whereas dogs with supratentorial tumors had a median survival time of 178 days (53). Pituitary tumors have the longest median survival times (359 days) with palliative management (54).

Metastatic brain lesions are usually treated palliatively, with a combination of medical therapy, radiation, and/or chemotherapy. More invasive treatments, such as surgery, should be reserved for animals in which the primary tumor is well controlled and no other systemic metastases can be documented.

Extra-axial cerebral tumors (predominantly presumptive meningiomas) without brainstem signs appear to have the best prognosis, especially in cats. Historically, the prognosis for animals with nervous system tumors has been guarded to poor and dependent on the extent of tissue damage, tumor location, surgical accessibility, and rate of tumor growth. Advances in treatment have centered mainly on surgical resection, radiation therapy, and chemotherapy, based on more accurate tumor localization and identification using imaging techniques such as CT scans and MRI. Better identification and characterization of tumors from tissue biopsies obtained via stereotactically guided biopsy devices have also led to additional improvement in survival times.

Surgical resection of feline meningiomas provided a median survival time of 881 days in one study and was reported as > 2 years in another (55, 56). In both studies, > 50% of causes of death were unrelated to the meningioma.

In dogs, the ability to completely resect meningiomas is more limited, because tissue invasion is more frequent. The use of surgical aspirator devices and intraoperative ultrasonographic or endoscopic imaging may improve the surgeon's ability to perform complete removal. When reports are combined, surgical resection provides a median survival time of 312 days in dogs. Reported complications of surgery include pneumocranium, uncontrollable seizures, middle cerebral artery thrombosis, hyponatremia, hypo-osmolality, and large temperature fluctuations (54).

MPNSTs cause substantial morbidity and may present a treatment challenge. Treatment consists of amputation/hemipelvectomy with or without a laminectomy to remove the nerve/nerve root and has a high rate of intra- and postoperative complications. However, surgical resection of MPNSTs is associated with a relatively good outcome with a reported disease-free interval of 511 days, with 1- and 2-year survival rates of 82% and 22%, respectively (57).

Historically, surgical resection has been rarely possible for intramedullary masses. However, successful removal of a thoracolumbar intramedullary ependymoma and a tumor resembling a nephroblastoma (by exploratory laminectomy, followed by durotomy and myelotomy) has been reported (58). With the increasing availability of advanced surgical equipment, such as operating microscopes, surgical resection may become more common.

The prognosis for dogs with intramedullary spinal cord metastasis is poor because of the frequent presence of disseminated disease, although corticosteroid therapy may lead to temporary improvement.

Radiation therapy as a sole treatment, either in standard fractionated courses (usually throughout 3–4 weeks) or in stereotactic radiosurgery (SRS) approaches (usually one to four treatments), has also been attempted.

Addition of cytotoxic drugs (most commonly hydroxyurea or lomustine [CCNU]) postoperatively or at recurrence may lengthen survival time, although one study showed no difference between survival times in dogs undergoing radiation therapy with or without temozolomide (59).

Radiation therapy may be the most successful treatment for a range of intracranial tumors, and, if surgery is performed, postoperative radiation therapy may prolong survival times. Radiation therapy is beneficial for treatment of inoperable tumors and may be better than surgery for dogs with infiltrative masses.

Median survival times after radiation therapy vary, with a range of 139–906 days and a median of 351 days across all reports (54). However, > 50% of dogs that underwent radiation therapy for pituitary tumors had survival times > 2,000 days (60). Cats with pituitary tumors appear to respond well to SRS; > 50 cats with acromegaly survived > 1,000 days, with 95% having decreased insulin requirements and approximately one-third achieving diabetic remission, either temporarily or permanently (61).

Reported complications of radiation therapy include aspiration pneumonia, pulmonary thromboembolism, altered mentation (acute CNS toxicity), late-onset radiation necrosis, risks associated with repeated anesthesia, permanent skin epilation, atrophy of temporal muscle, keratitis with corneal vascularization, bilateral cataracts, and deafness (54). Currently, radiation therapy, with or without surgical resection, appears to provide the best survival times of all treatment modalities.

Several chemotherapeutic agents are available for treating tumors of the nervous system. Of note, the blood-brain barrier may play a role in penetration into the nervous system, affecting the ability to achieve therapeutic concentrations through oral or intravenous dosing.

Temozolomide has been used as an adjuvant therapy in humans but also as a single agent in treating recurrent gliomas. Unfortunately, temozolomide treatment for intracranial glioma has only been reported in one dog, with a survival time of 190 days (3). Surgical debulking combined with temozolomide has been reported in 10 dogs with a median survival time of 185 days (62). A dose of 60–100 mg/m2, PO, every 24 hours for 5 days on a 28-day cycle has been described (63, 64, 65).

CCNU is also a commonly used chemotherapeutic agent for human glioma treatment. Median survival time with chemotherapy alone has been reported at 135 days and 165 days with surgical resection and adjuvant chemotherapy, respectively (66, 67) Dosing ranges for CCNU are reported at 30–90 mg/m2, PO, once every 4–6 weeks to minimize the bone marrow effects (68, 69).

Other reported chemotherapeutic agents for gliomas include carmustine, hydroxyurea, toceranib phosphate, and cytarabine.

Treatment of glioma in dogs also serves as a model for treatment of glioma in humans, and novel chemotherapeutic agents and drug deliveries are actively being investigated. Some of those therapies include intratumoral temozolomide, convection-enhanced delivery of cetuximab, metronomic chlorambucil, and clomipramine (70).

Hydroxyurea is the chemotherapeutic agent of choice for meningiomas; however, few studies exist in which dogs received it as the sole adjuvant therapy (71, 72, 73, 74). A reported dosing protocol is 20 mg/kg, PO, every 24 hours. To date, there have been few reports of hydroxyurea use in dogs following meningioma resection and no large studies evaluating hydroxyurea as the sole primary or adjunctive therapy. In humans, hydroxyurea has been shown to increase progression-free survival following incomplete resection of meningiomas, so future canine studies are recommended.

Methods recommended to treat spinal lymphosarcoma in cats include focal radiotherapy, surgical cytoreduction, and systemic chemotherapy, including L-asparaginase, cyclophosphamide, vincristine, and prednisolone. Long-term results are poor, partly associated with a positive feline leukemia virus status in these patients.

Because dogs serve as an excellent model for human intracranial neoplasia, novel therapies have been developed to further advance treatment. In dogs with meningiomas, an intradermal vaccination was developed using autologous tumor cells and showed an increased median survival time (645 days) (75). Convection-enhanced delivery allows direct infusion of chemotherapeutic agents into the brain parenchyma through small cannulae to avoid the challenges and limited permeability of the blood-brain barrier.

Other targeted agents that have been evaluated include protease-conjugated oncolytic viruses, immunomodulatory microRNAs, immune-checkpoint inhibitors, radiosensitizing agents, and nanoparticular cytotoxic drugs (1, 75).

Some nervous system tumors are most successfully treated with multiple treatment modalities. Vertebral osteosarcoma is the most common primary vertebral tumor in dogs. Surgical resection of primary bone tumors often results in decreased spinal stability, pathological fractures, or spinal subluxation. In once study, median survival time reported for dogs that received surgery alone was 42 days compared to 82 days with surgery and chemotherapy and 261 days for dogs receiving surgery, chemotherapy, and radiation therapy (76). In a study of canine malignant extradural tumors, postsurgical survival times were short. A report of 20 vertebral tumors (primary or metastatic fibrosarcomas or osteosarcomas) in dogs treated with combinations of surgery, radiation, and chemotherapy supports a guarded prognosis for dogs with vertebral neoplasia (77). Median survival time was 135 days, with a range of 15–600 days.

Key Points

  • Clinical signs of nervous system neoplasia are related to tumor location.

  • Diagnosis is usually based on advanced imaging studies and sometimes confirmed by biopsy.

  • Treatment can include surgery, radiation therapy, chemotherapy, or a combination.

For More Information

References

  1. Miller AD, Miller CR, Rossmeisl JH. Canine primary intracranial cancer: a clinicopathologic and comparative review of glioma, meningioma, and choroid plexus tumors. Front Oncol. 2019;9:1151. doi:10.3389/fonc.2019.01151

  2. LeBlanc AK, Mazcko C, Brown DE, et al. Creation of an NCI comparative brain tumor consortium: informing the translation of new knowledge from canine to human brain tumor patients. Neuro Oncol. 2016;18(9):1209-1218.

  3. José-López R, Gutierrez-Quintana R, de la Fuente C, et al. Clinical features, diagnosis, and survival analysis of dogs with glioma. J Vet Intern Med. 2021;35(4)1902-1917. doi:10.1111/jvim.16199

  4. Koehler JW, Miller AD, Miller CR, et al. A revised diagnostic classification of canine glioma: towards validation of the canine glioma patient as a naturally occurring preclinical model for human glioma. J Neuropathol Exp Neurol. 2018;77(11):1039-1054. doi:10.1093/jnen/nly085

  5. Dorn CR, Taylor DO, Frye FL, Hibbard HH. Survey of animal neoplasms in Alameda and Contra Costa Counties, California. I. Methodology and description of cases. J Natl Cancer Inst. 1968;40(2):295-305.

  6. Dorn CR, Taylor DO, Schneider R, Hibbard HH, Klauber MR. Survey of animal neoplasms in Alameda and Contra Costa Counties, California. II. Cancer morbidity in dogs and cats from Alameda County. J Natl Cancer Inst. 1968;40(2):307-318.

  7. McGrath JT. Intracranial pathology of the dog. Acta Neuropathol. 1962;1(suppl):3-4. doi:10.1007/978-3-642-92847-5_2

  8. Song RB, Vite CH, Bradley CW, Cross JR. Postmortem evaluation of 435 cases of intracranial neoplasia in dogs and relationship of neoplasm with breed, age, and body weight. J Vet Intern Med. 2013;27(5):1143-1152. doi:10.1111/jvim.12136

  9. Zaki FA, Hurvitz AI. Spontaneous neoplasms of the central nervous system of the cat. J Small Anim Pract. 1976;17(12):773-782. doi:10.1111/j.1748-5827.1976.tb06943.x

  10. Troxel MT, Vite CH, Van Winkle TJ, et al. Feline intracranial neoplasia: retrospective review of 160 cases (1985–2001). J Vet Intern Med. 2003;17(6):850-859. doi:10.1111/j.1939-1676.2003.tb02525.x

  11. Keller ET, Madewell BR. Locations and types of neoplasms in immature dogs: 69 cases (1964-1989). J Am Vet Med Assoc. 1992;200(10):1530-1532.

  12. Hayes HM, Priester WA Jr, Pendergrass TW. Occurrence of nervous-tissue tumors in cattle, horses, cats and dogs. Int J Cancer. 1975;15(1):39-47. doi:10.1002/ijc.2910150106

  13. Lenz JA, Furrow E, Craig LE, Cannon CM. Histiocytic sarcoma in 14 miniature schnauzers: a new breed predisposition?J Small Anim Pract. 2017;58(8):461-467. doi:10.1111/jsap.12688

  14. Young BD, Levine JM, Porter BF, et al. Magnetic resonance imaging features of intracranial astrocytomas and oligodendrogliomas in dogs. Vet Radiol Ultrasound. 2011;52(2):132-141. doi:10.1111/j.1740-8261.2010.01758.x

  15. Sarfaty D, Carrillo JM, Patnaik AK. Cerebral astrocytoma in four cats: clinical and pathologic findingsJ Am Vet Med Assoc. 1987;191(8):976-978.

  16. Snyder JM, Shofer FS, Van Winkle TJ, Massicotte C. Canine intracranial primary neoplasia: 173 cases (1986–2003). J Vet Intern Med. 2006;20(3):669-675. doi:10.1111/j.1939-1676.2006.tb02913.x

  17. Griffin JF IV, Stevenson WS, Nelson NC, et al. MRI findings in six dogs with ependymoma of the brain and spinal cord. Vet Radiol Ultrasound. 2025;66(1):e13477. doi:10.1111/vru.13477

  18. Ferreira AJ, Jaggy A, Varejão AP, et al. Brain and ocular metastases from a transmissible venereal tumour in a dog. J Small Anim Pract. 2000;41(4):165-168. doi:10.1111/j.1748-5827.2000.tb03187.x

  19. Steinberg H, Galbreath EJ. Cerebellar medulloblastoma with multiple differentiation in a dog. Vet Pathol. 1998;35(6):543-546. doi:10.1177/030098589803500611

  20. Bertoy EH, Feldman EC, Nelson RW, Dublin AB, Reid MH, Feldman MS. One-year follow-up evaluation of magnetic resonance imaging of the brain in dogs with pituitary-dependent hyperadrenocorticism. J Am Vet Med Assoc. 1996;208(8):1268-1273.

  21. Menchetti M, De Risio L, Galli G, et al. Neurological abnormalities in 97 dogs with detectable pituitary masses. Vet Q. 2019;39(1):57-64. doi:10.1080/01652176.2019.1622819

  22. Wood FD, Pollard RE, Uerling MR, Feldman EC. Diagnostic imaging findings and endocrine test results in dogs with pituitary-dependent hyperadrenocorticism that did or did not have neurologic abnormalities: 157 cases (1989-2005). J Am Vet Med Assoc. 2007;231(7):1081-1085. doi:10.2460/javma.231.7.1081

  23. Nelson RW, Ihle SL, Feldman EC. Pituitary macroadenomas and macroadenocarcinomas in dogs treated with mitotane for pituitary-dependent hyperadrenocorticism: 13 cases (1981-1986). J Am Vet Med Assoc. 1989;194(11):1612-1617.

  24. Valentin SY, Cortright CC, Nelson RW, et al. Clinical findings, diagnostic test results, and treatment outcome in cats with spontaneous hyperadrenocorticism: 30 cases. J Vet Intern Med. 2014;28(2):481-487. doi:10.1111/jvim

  25. Holmes ME, Keyerleber MA, Faissler D. Prolonged survival after craniectomy with skull reconstruction and adjuvant definitive radiation therapy in three dogs with multilobular osteochondrosarcoma. Vet Radiol Ultrasound. 2019;60(4):447-455. doi:10.1111/vru.12750

  26. Dernell WS, Straw RC, Cooper MF, Powers BE, LaRue SM, Withrow SJ. Multilobular osteochondrosarcoma in 39 dogs: 1979-1993. J Am Anim Hosp Assoc. 1998;34(1):11-18. doi:10.5326/15473317-34-1-11

  27. Errante PE. Multilobular bone tumor in dogs: a mini review. D-154. Biomed J Sci Tech Res. 2022;43(5):33065-33069.

  28. Lane SB, Kornegay JN, Duncan JR, Oliver JE Jr. Feline spinal lymphosarcoma: a retrospective evaluation of 23 cats. J Vet Intern Med. 1994;8(2):99-104. doi:10.1111/j.1939-1676.1994.tb03205.x

  29. Levy MS, Kapatkin AS, Patnaik AK, Mauldin GN, Mauldin GE. Spinal tumors in 37 dogs: clinical outcome and long-term survival (1987-1994). J Am Anim Hosp Assoc. 1997;33(4):307-312. doi:10.5326/15473317-33-4-307

  30. Richter M, Stankeova S, Hauser B, Scharf G, Spiess BM. Myxosarcoma in the eye and brain in a dog. Vet Ophthalmol. 2003;6(3):183-189. doi:10.1046/j.1463-5224.2003.00289.x

  31. Cooper MA, Bennett PF, Laverty PH. Metastatic mast cell tumour in a dog presenting with spinal pain. Aust Vet J. 2009;87(4):157-159. doi:10.1111/j.1751-0813.2009.00397.x

  32. Moore LE, Garrett LD, Debey B, Biller DS. Spinal mast cell tumor in a dog. J Am Anim Hosp Assoc. 2002;38(1):67-70. doi:10.5326/0380067

  33. Krasnow MS, Griffin JF IV, Levine JM, et al. Agreement and differentiation of intradural spinal cord lesions in dogs using magnetic resonance imaging. J Vet Intern Med. 2022;36(1):171-178. doi:10.1111/jvim.16327

  34. Bagley RS. Spinal neoplasms in small animals. Vet Clin North Am Small Anim Pract. 2010;40(5):915-927. doi:10.1016/j.cvsm.2010.05.010

  35. Wright JA. The pathological features associated with spinal tumours in 29 dogs. J Comp Pathol. 1985;95(4):549-557. doi:10.1016/0021-9975(85)90024-6

  36. Cooper-Khan RS, Frankovich AN, Thompson CA, Thomovsky SA, Lewis MJ. Clinical findings and outcome in 30 dogs with presumptive or confirmed nerve sheath tumors. Vet Sci. 2024;11(5):192. doi:10.3390/vetsci11050192

  37. Brehm DM, Vite CH, Steinberg HS, Haviland J, van Winkle T. A retrospective evaluation of 51 cases of peripheral nerve sheath tumors in the dog. J Am Anim Hosp Assoc. 1995;31(4):349-359. doi:10.5326/15473317-31-4-349

  38. Tomlinson J, Higgins RJ, LeCouteur RA, Knapp D. Intraspinal epidermoid cyst in a dog. J Am Vet Med Assoc. 1988;193(11):1435-1436.

  39. Young BD, Fosgate GT, Holmes SP, et al. Evaluation of standard magnetic resonance characteristics used to differentiate neoplastic, inflammatory, and vascular brain lesions in dogs. Vet Radiol Ultrasound. 2014;55:399-406. doi:10.1111/vru.12137

  40. Ródenas S, Pumarola M, Gaitero L, Zamora A, Añor S. Magnetic resonance imaging findings in 40 dogs with histologically confirmed intracranial tumours. Vet J. 2011;187(1):85-91. doi:10.1016/j.tvjl.2009.10.011

  41. Wolff C, Holmes S, Young B, et al. Magnetic resonance imaging for the differentiation of neoplastic, inflammatory, and cerebrovascular brain disease in dogs. J Vet Intern Med. 2012;26(3):589-597. doi:10.1111/j.1939-1676.2012.00899.x

  42. Bentley RT. Magnetic resonance imaging diagnosis of brain tumors in dogs. Vet J. 2015;205(2):204-216. doi:10.1016/j.tvjl.2015.01.025

  43. Glamann S, Jeffery ND, Levine JM, et al. The “claw sign” may aid in axial localization in cases of peripherally located canine glioma on MRI. Vet Radiol Ultrasound. 2023;64(4)706-712. doi:10.1111/vru.13253

  44. Bentley R, Ober C, Anderson K, et al. Canine intracranial gliomas: relationship between magnetic resonance imaging criteria and tumor type and grade. Vet J. 2013;198(2):463-471. doi:10.1016/j.tvjl.2013.08.015

  45. Young BD, Levine JM, Porter BF, et al. Magnetic resonance imaging features of intracranial astrocytomas and oligodendrogliomas in dogs. Vet Radiol Ultrasound. 2011;52(2):132-141. doi:10.1111/j.1740-8261.2010.01758.x

  46. Carloni A, Bernardini M, Mattei C, et al. Can MRI differentiate between ring-enhancing gliomas and intra-axial abscesses?Vet Radiol Ultrasound. 2022;63(5):563-572. doi:10.1111/vru.13098

  47. Westworth D, Dickinson P, Vernau W, et al. Choroid plexus tumors in 56 dogs (1985–2007). J Vet Intern Med. 2008;22(5):1157-1165. doi:10.1111/j.1939-1676.2008.0170.x

  48. Berquist TH, Ehman RL, King BF, Hodgman CG, Ilstrup DM. Value of MR imaging in differentiating benign from malignant soft-tissue masses: study of 95 lesions. AJR Am J Roentgenol. 1990;155(6):1251-1255. doi:10.2214/ajr.155.6.2122675

  49. LeCouteur RA. Current concepts in the diagnosis and treatment of brain tumours in dogs and cats. J Small Anim Pract. 1999;40(9):411-416. doi:10.1111/j.1748-5827.1999.tb03113.x 

  50. Kraft SL, Gavin PR. Intracranial neoplasia. Clin Tech Small Anim Pract. 1999;14(2):112-123. doi:10.1016/S1096-2867(99)80009-7

  51. Tokgoz N, Oner YA, Kaymaz M, et al. Primary intraosseous meningioma: CT and MRI appearance. AJNR Am J Neuroradiol. 2005;26(8):2053-2056.

  52. Gielen I, Kromhout K, Gavin P, Van Ham L, Polis I, van Bree H. Agreement between low-field MRI and CT for the detection of suspected intracranial lesions in dogs and cats. J Am Vet Med Assoc. 2013;243(3):367-375. doi:10.2460/javma.243.3.367

  53. Rossmeisl JH Jr, Jones JC, Zimmerman KL, Robertson JL. Survival time following hospital discharge in dogs with palliatively treated primary brain tumors. J Am Vet Med Assoc. 2013;242(2):193-198. doi:10.2460/javma.242.2.193. PMID: 23276095

  54. Hu H, Barker A, Harcourt-Brown T, Jeffery N. Systematic review of brain tumor treatment in dogs. J Vet Intern Med. 2015;29(6):1456-1463. doi:10.1111/jvim.13617

  55. Porsmoguer C, Blondel M, Moissonnier PHM. Surgical treatment of feline intracranial meningiomas: a retrospective study of 26 cases. J Vet Sci. 2024;25(2):e25. doi:10.4142/jvs.23207

  56. Ijiri A, Yoshiki K, Tsuboi S, Shimazaki H, Akiyoshi H, Nakade T. Surgical resection of twenty-three cases of brain meningioma. J Vet Med Sci. 2014;76(3):331-338. doi:10.1292/jvms.12-0373

  57. Stokes R, Wustefeld-Janssens BG, Hinson W, et al. Surgical and oncologic outcomes in dogs with malignant peripheral nerve sheath tumours arising from the brachial or lumbosacral plexus. Vet Comp Oncol. 2023;21(4):739-747. doi:10.1111/vco.12938

  58. Jeffery ND, Phillips SM. Surgical treatment of intramedullary spinal cord neoplasia in two dogs. J Small Anim Pract. 1995;36(12):553-557. doi:10.1111/j.1748-5827.1995.tb02811.x

  59. Dolera M, Malfassi L, Bianchi C, et al. Frameless stereotactic radiotherapy alone or combined with temozolomide for presumed canine gliomas. Vet Comp Oncol. 2018;16(1):90-101. doi:10.1111/vco.12316

  60. Kent MS, Bommarito D, Feldman E, Theon AP. Survival, neurologic response, and prognostic factors in dogs with pituitary masses treated with radiation therapy and untreated dogs. J Vet Intern Med. 2007;21(5):1027-1033. doi:10.1111/j.1939-1676.2007.tb03060.x

  61. Wormhoudt TL, Boss MK, Lunn K, et al. Stereotactic radiation therapy for the treatment of functional pituitary adenomas associated with feline acromegaly. J Vet Intern Med. 2018;32(4):1383-1391. doi:10.1111/jvim.15212

  62. Hidalgo Crespo E, Farré Mariné A, Pumarola i Battle M, Borrego Massó JF, Feliu-Pascual AL. Survival time after surgical debulking and temozolomide adjuvant chemotherapy in canine intracranial gliomas. Vet Sci. 2022;9(8):427. doi:10.3390/vetsci9080427

  63. Treggiari E, Elliott JW, Baines SJ, Blackwood L. Temozolomide alone or in combination with doxorubicin as a rescue agent in 37 cases of canine multicentric lymphoma. Vet Comp Oncol. 2018;16(2):194-201. doi:10.1111/vco.12335

  64. Cancedda S, Rohrer Bley C, Aresu L, et al. Efficacy and side effects of radiation therapy in comparison with radiation therapy and temozolomide in the treatment of measurable canine malignant melanoma. Vet Comp Oncol. 2016;14(4):e146-157. doi:10.1111/vco.12122

  65. Dervisis NG, Dominguez PA, Sarbu L, et al. Efficacy of temozolomide or dacarbazine in combination with an anthracycline for rescue chemotherapy in dogs with lymphomaJ Am Vet Med Assoc. 2007;231(4):563-569. doi:10.2460/javma.231.4.563

  66. Jeffery N, Brearley MJ. Brain tumours in the dog: treatment of 10 cases and review of recent literature. J Small Anim Pract. 1993;34(8):367-372. doi:10.1111/j.1748-5827.1993.tb02720.x

  67. Fulton LM, Steinberg HS. Preliminary study of lomustine in the treatment of intracranial masses in dogs following localization by imaging techniques. Semin Vet Med Surg Small Anim. 1990;5(4):241-245.

  68. Heading KL, Brockley LK, Bennet PF. CCNU (lomustine) toxicity in dogs: a retrospective study (2002-07). Aust Vet J. 2011;89(4):109-116. doi:10.1111/j.1751-0813.2011.00690.x

  69. Moore AS, London CA, Wood CA, et al. Lomustine (CNNU) for the treatment of resistant lymphoma in dogs. J Vet Intern Med. 1999;13(5):395-398. doi:10.1111/j.1939-1676.1999.tb01452.x

  70. Jose-Lopez R. Chemotherapy for the treatment of intracranial glioma in dogs. Front Vet Sci. 2023;10:1273122. doi:10.3389/fvets.2023.1273122

  71. Motta L, Mandara MT, Skerritt GC. Canine and feline intracranial meningi‐ omas: an updated review. Vet J. 2012;192(2):153-165. doi:10.1016/j.tvjl.2011.10.008

  72. Tamura S, Tamura Y, Ohoka A, Hasegawa T, Uchida K. A canine case of skull base meningioma treated with hydroxyurea. J Vet Med Sci. 2007;69(12):1313-1315. doi:10.1292/jvms.69.1313

  73. Jung DI, Chae‐Young L, Kang BT, Kim JW, Yoo JH, Park HM. Long‐term chemotherapy with hydroxyurea in a dog with suspected intracranial meningioma. J Vet Clin. 2008;25(6):514-517.

  74. Jung HW, Lee HC, Kim JH, et al. Imatinib mesylate plus hydroxyurea chemotherapy for cerebellar meningioma in a Belgian Malinois dog. J Vet Med Sci. 2014;76(11):1545-1548. doi:10.1292/jvms.14-0001

  75. Andersen BM, Pluhar GE, Seiler CE, et al. Vaccination for invasive canine meningioma induces in situ production of antibodies capable of antibody-dependent cell-mediated cytotoxicity. Cancer Res. 2013;73(10):2987-2997. doi:10.1158/0008-5472.CAN-12-3366

  76. Dixon A, Chen A, Rossmeisl JH Jr, et al. Surgical decompression, with or without adjunctive therapy, for palliative treatment of primary vertebral osteosarcoma in dogs. Vet Comp Oncol. 2019;17(4):472-478. doi:10.1111/vco.12508

  77. Dernell WS, Van Vechten BJ, Straw RC, LaRue SM, Powers BE, Withrow SJ. Outcome following treatment of vertebral tumors in 20 dogs (1986-1995). J Am Anim Hosp Assoc. 2000;36(3):245-251. doi:10.5326/15473317-36-3-245

quizzes_lightbulb_red
Test your Knowledge nowTake a Quiz!
iOS ANDROID
iOS ANDROID
iOS ANDROID